건강검진에서 예상치 못하게 신장에 종양이 발견되면,
그리고 생소한 이름의 신장 혈관근지방종 진단을 받으면,
누구나 불안한 마음이 들 수 있습니다.
하지만 이 글을 통해 신장 혈관근지방종에 대해 이해하면,
안심하고 마음이 가벼워지게 될 것입니다.

1. 신장 혈관근지방종이란?
신장 혈관근지방종(Angiomyolipoma, AML)은 신장에서 발견되는 종양입니다. 신장에서 발견되는 종양 중에서 10% 미만을 차지하고 있으며, 악성 종양인 암과는 다른 양성종양입니다. 즉, 암처럼 퍼지거나 암과 같은 방식으로 생명에 위협을 주지 않는 일반적인 혹에 가깝다고 이해하시면 됩니다.
신장 혈관근지방종은 간엽 조직에서 기원하는 종양의 일종입니다. 간엽 조직은 주로 결합조직, 근육, 혈관, 뼈, 연골, 지방 등을 형성하는 조직입니다. 그래서 다양한 조직이 섞여 있다는 점이 특징입니다. 구체적으로 두꺼워진 혈관조직과, 평활근이라는 근육조직, 성숙한 지방조직으로 구성됩니다.
이렇게 혈관, 근육, 지방이 과다 증식하면서 형성된 양성 종양이지만, 이 종양은 출혈의 위험이 있기 때문에 주의가 필요합니다. 또한 가끔은 영상 검사로도 신세포암(Renal Cell Carcinoma)과 구분이 쉽지 않은 경우가 있습니다.
신장 혈관근지방종은 남성보다는 여성에게서 더 자주 발견됩니다. 사춘기 이후부터 주로 나타나는 것을 보아, 에스트로겐이라는 여성호르몬의 영향을 받을 것으로 추정합니다. 다른 장기에도 발생할 수 있지만, 신장에서 가장 흔히 발견됩니다.



2. 신장 혈관근지방종의 증상
신장 혈관근지방종은 대부분 증상이 없고, 복부 초음파 검사 중 우연히 발견되는 경우가 많습니다. 하지만 종양의 크기가 큰 경우, 드물게 혈뇨나 옆구리 통증이 나타날 수 있습니다. 특히 이 종양은 외부 충격 없이도 출혈이 발생할 수 있는데, 만약 출혈이 심하면 생명에 위험을 초래할 수 있어 주의 깊은 관리가 필요합니다.
일반적으로 신장 혈관근지방종은 한쪽 신장에만 생기지만, 결절성 경화증과 관련된 경우 양쪽 신장에 다발성으로 나타나는 경우가 많습니다. 결절성 경화증 환자의 약 20~50%에서 신장 혈관근지방종이 발견된다고 하는데, 대부분 무증상이라고 합니다.
양쪽 신장에 종양이 여러 개 생기면, 시간이 지나면서 신부전이나 고혈압과 같은 문제가 동반될 수 있습니다. 따라서 이러한 경우 정기적인 관리와 검진이 중요합니다.


3. 신장 혈관근지방종의 진단과 특징
신장 혈관근지방종은 주로 영상 검사를 통해 발견됩니다. 지방, 혈관, 근육 조직이 포함된 이 종양은 암과 구분이 어려운 경우가 있어 정확한 진단이 중요합니다.
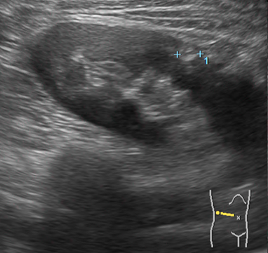
보통 초음파 검사에서 신장 혈관근지방종이 자주 발견됩니다. 초음파 상에서 이 종양은 주위 조직과 경계가 뚜렷하며, 밝은 흰색으로 보이는데, 이는 지방 조직이 초음파에 밝게 나타나기 때문입니다. 더불어 내부 혈관 구조가 관찰되는 경우도 있습니다.
또한 CT나 MRI이 진단에 사용될 수 있습니다. CT에서 지방조직은 약간 어둡게 보이는 경향이 있으므로 이러한 특징이 진단의 단서가 됩니다. 하지만 때때로 출혈이 있으면 그 부분은 밝게 보이기도 합니다. MRI에서는 T1 강조 영상에서 고신호를, T2 강조 영상에서 저신호 강도를 보입니다. 지방이 적고 근육 성분이 많을 경우, MRI가 악성 신세포암과의 감별에 유용합니다.
영상 검사로 명확히 진단되지 않아 애매할 때는 조직검사를 시행합니다. 혈관근지방종의 혈관은 얇고 파열되기 쉬우며, 근육 성분이 단단한 질감을 형성합니다. 또한, 특유의 지방 조직이 포함된 구조가 특징입니다.
반면, 혈관근지방종과 달리 악성종양은 석회화가 함께 있거나 신장 주변 조직을 침윤하는 경우에 강하게 의심할 수 있습니다. 지방 성분이 적고, 크기가 크며 괴사가 동반하는 것도 악성 종양의 특징입니다.
하지만 간혹 여러 검사를 통해서도 악성 여부를 판단하기 어려운 경우가 있을 수 있어 예방 차원에서 수술을 시행하는 경우도 있습니다. 실제로 암이 의심되어 수술했는데, 수술 후 병리검사에서 양성으로 확인되는 경우도 있기 때문에, 의료진은 수술 전 두 가지 가능성을 모두 설명하기도 합니다.



4. 신장 혈관근지방종의 치료와 관리
신장 혈관근지방종의 치료는 크기와 증상(통증, 출혈) 여부에 따라 결정됩니다. 4cm 이하이고 증상이 없는 경우에는 6~12개월 간격으로 초음파나 CT 검사로 추적 관찰을 시행합니다. 4cm 이상이지만 증상이 경미한 경우에는 상황에 따라 6개월 간격으로 초음파나 CT로 추적검사를 할 수 있습니다. 그러나 혈뇨나 통증 등의 증상이 있거나 크기가 지나치게 큰 경우 합병증 예방과 증상 완화를 위해 치료를 선택하기도 합니다.
치료 방법은 종양의 크기와 환자의 상태에 따라 다양하게 적용됩니다. 치료법은 종양동맥 색전술, 병소 적출술, 부분 신절제술에서 신적출술까지 다양합니다. 과거에는 종양이 암과 구분이 어려워 신장 전체를 떼어내는 신적출술을 시행하는 경우가 많았습니다.
그러나 최근에는 출혈이 없을 때는 추적 관찰을, 자연파열로 출혈이 있는 경우에는 출혈과 관련된 동맥을 막아버리는 선택적 동맥 색전술을 선호합니다. 간혹 mTOR 억제제와 같은 약물치료가 고려되는 경우도 있는데 이는 신장 혈관근지방종의 크기를 줄이는 데 사용되며, 특히 결절성 경화증과 관련된 환자에게 도움이 될 수 있습니다.
신장 혈관근지방종으로 추적관찰 할 때는 특별히 관리할 것은 없습니다. 정기적인 검사를 통해 변화 여부를 잘 확인하면 됩니다. 하지만 혈관근육지방종을 가진 임산부는 일반 여성보다 출혈 위험이 높기 때문에 주의가 필요합니다. 치료를 해야 하는 경우에는 임신 전에 미리 치료를 시행하는 것도 하나의 방법입니다. 또한 크기가 큰 종양이 있는 환자가 갑작스러운 옆구리 통증과 어지럼증을 느낄 경우에는 응급한 상황으로 진행될 수 있으므로 지체하지 말고 병원 진료를 받아야 합니다.
신장 혈관근지방종은 양성 종양으로 큰 위험 없이 관리할 수 있습니다. 다만 출혈 위험이 있는 경우 정기적인 검사와 치료가 필요합니다. 조기 발견과 꾸준한 관리로 건강한 일상을 유지하시기를 바랍니다.
'신장 I 방광 I 요로' 카테고리의 다른 글
| 만성 신부전의 관리 I 신장을 위한 필수 지침 (0) | 2024.09.20 |
|---|