건강검진에서 “치밀유방”이라는 말을 듣고
걱정하신 적이 있으신가요?
치밀유방에 대해 이해하면 불필요한 걱정을 덜고,
유방 건강을 효과적으로 관리할 수 있습니다.
이번 글에서는 치밀유방에 대해
쉽고 자세하게 설명하겠습니다.

1. 치밀유방이란?
치밀유방은 유방 안에 지방이 적고 단단한 조직이 많은 상태를 말합니다. 우리 몸의 유방은 두 가지 종류의 조직으로 이루어져 있습니다.
1) 섬유선 조직과 결합 조직: 유방을 단단하게 지탱해 주는 부분
2) 지방 조직: 유방을 부드럽게 만들어 주는 부분
보통 유방 엑스레이 촬영을 할 때 지방이 많은 유방은 어둡게 보입니다. 그런데 치밀유방은 단단한 조직이 많아서 엑스레이 사진이 하얗게 나옵니다. 그런데 문제는 암과 같은 종양도 하얗게 보이기 때문에, 암이 있어도 잘 보이지 않을 수 있다는 점입니다. 그래서 치밀유방이 있는 사람들은 암을 찾기 어려울 수 있어서 주의가 필요합니다.



2. 치밀유방의 임상적 의미
1) 유방암 발견이 어려움
치밀유방은 유방 촬영(엑스레이) 사진에서 하얗게 보입니다. 그런데 암과 같은 종양도 하얗게 보이기 때문에, 두 개를 구별하기가 어렵습니다. 이는 마치 눈 덮인 들판에서 하얀 토끼를 찾는 것과 비슷합니다. 그래서 치밀유방이 있는 사람들은 암을 조기에 발견하기가 어려울 수 있습니다.
2) 유방암 위험 증가
치밀유방을 가진 사람은 암에 걸릴 위험이 1.5~2배 더 높다고 합니다. 치밀유방의 조직은 새로운 세포가 더 자주 만들어져서 암과 같은 돌연변이가 생길 확률이 높아집니다. 또한 여성호르몬과 염증의 영향도 많이 받는 환경이기 때문에 암에 걸릴 확률이 높아지는 것으로 추정하고 있습니다.
3) 검진 방법 선택에 중요
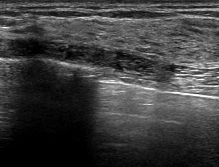
엑스레이만으로는 암을 찾기 어렵기 때문에 다른 검사 방법을 함께 사용하는 것이 좋습니다. 일반적으로는 유방 초음파 검사를 많이 하고 있습니다. 초음파는 유방의 단단한 조직과 종양을 더 잘 구분할 수 있습니다. 그리고 필요시에는 MRI 검사를 할 때도 있습니다.



3. 치밀유방의 원인
치밀유방은 걱정할 필요 없는 몸의 자연스러운 상태입니다. 나이와 호르몬 변화에 따라 유방의 밀도(단단함)가 달라질 수 있습니다.
1) 젊은 여성
대부분의 젊은 여성들은 치밀유방을 가지고 있습니다.
2) 폐경 후 여성
나이가 들고 폐경이 되면 유방 안에 지방이 많아지면서 밀도가 낮아지는 경향이 있습니다.
3) 가족력
엄마나 언니처럼 가족 중에 치밀유방이 있는 경우, 유전적인 영향으로 본인도 치밀유방일 가능성이 높습니다.
4) 호르몬 치료
폐경 후 갱년기 증상 치료를 위해 호르몬 대체요법을 받으면 유방이 다시 치밀해질 수 있습니다.
이처럼 치밀유방은 여러 이유로 생길 수 있고, 누구에게나 나타날 수 있는 자연스러운 변화입니다.



4. 치밀유방의 유방암 검진 방법
1) 기본 검진
유방 촬영술은 여전히 기본적인 검진 방법입니다. 이 검사는 엑스레이를 사용해서 유방의 모습을 찍습니다. 하지만 치밀유방이 있는 경우 암 발견이 어려울 수 있으므로 추가적인 검사를 함께 하는 것이 좋습니다.
2) 추가 검진 방법
○ 유방 초음파 검사: 초음파는 치밀유방에서도 조직을 잘 구분할 수 있어서 정확성이 높습니다. 다만 암과 관련이 있는 미세석회화는 발견이 어려울 때가 있어서, 유방촬영술과 같이 하는 것이 좋습니다.
○ 유방 MRI 검사: 비용이 비싸기 때문에 보통 먼저 시행하지는 않습니다. 가족 중에 유방암 환자가 있거나, 유방암에 걸릴 위험이 높은 사람에게 시행할 수 있습니다.
3) 정기 검진 중요성:
치밀유방이 있는 사람은 매년 한 번씩 정기적으로 유방 검진을 받는 것이 좋습니다. 정기적으로 검사를 받으면 유방암을 빨리 발견할 수 있어서 건강을 지키는 데 정말 중요합니다. 또한 이전 검사에서 추적검사를 권유 받은 경우에는 꼭 주기를 지켜서 검사를 하는 것이 중요합니다.



5. 치밀유방과 건강한 생활 습관
치밀유방은 특별한 질병이 아니라 유방의 조직 구조를 말합니다. 그래서 치밀유방 자체를 없애거나 예방하는 방법은 없습니다. 하지만 유방암에 걸릴 위험을 줄이기 위해 우리가 할 수 있는 건강한 생활 습관이 있습니다. 그 방법들을 알아보겠습니다.
1) 균형 잡힌 식사
매일 신선한 채소와 과일을 많이 먹는 것이 중요합니다. 이렇게 하면 몸이 필요한 영양소를 잘 받을 수 있습니다. 또 기름진 음식이나 패스트푸드는 많이 먹지 않는 것이 좋습니다. 비만은 유방암의 위험을 증가시킵니다.
2) 규칙적인 운동
매일 조금씩 운동하는 것도 중요합니다. 자전거 타기, 걷기, 뛰기 등 재미있게 할 수 있는 운동을 찾는 것이 좋습니다. 운동은 체중을 관리하는 데 도움이 되고, 건강을 지키는 데 큰 역할을 합니다.


3) 유방 자가검진
매달 한 번씩 자신의 유방을 직접 만져보는 것도 중요합니다. 유방을 만져보면서 이상한 덩어리나 변화가 있는지 확인합니다. 만약 이상한 점이 발견되면 의료진의 상담을 받도록 합니다.
4) 금연과 절주
담배를 피우지 않고 술을 적게 마시는 것도 중요합니다. 담배와 술은 유방암에 걸릴 위험을 높일 수 있습니다.


치밀유방이라는 진단을 받았다고 해서 무조건 걱정할 필요는 없습니다. 이는 단순한 신체 특성이며, 정기적인 검진과 관리로 충분히 건강을 지킬 수 있습니다. 자신의 유방 상태를 잘 이해하고 적절한 검진 방법을 선택하는 것이 가장 중요합니다. 생활 속에서 건강한 습관을 유지하며, 정기적인 유방 검진으로 안심할 수 있는 생활을 이어가세요.
'건강 검진' 카테고리의 다른 글
| 흉막비후 원인과 주의사항 (0) | 2024.11.07 |
|---|---|
| 감마지티피 높으면 의미하는 것 (0) | 2024.11.06 |
| 건강검진 대상자 조회 방법 I 일반 검진 및 암 검진 (0) | 2024.10.31 |
| 반응성 세포변화 치료와 관리 (0) | 2024.10.30 |
| 반응성 세포변화 I 염증 소견의 의미 (0) | 2024.10.29 |