건강검진 결과에서 흉막 비후라는 말을 들으면,
생소한 단어에 걱정이 앞설 수 있습니다.
이 글은 흉막 비후의 원인과 주의사항을 쉽게 설명합니다.
흉막 비후에 대해서 잘 이해하면,
적절하게 대처할 수 있을 것입니다.

흉막비후의 증상과 치료 및 관리방법에 대해 먼저 알고 싶으시면, 아래 버튼을 눌러보세요.
1. 흉막 비후란?
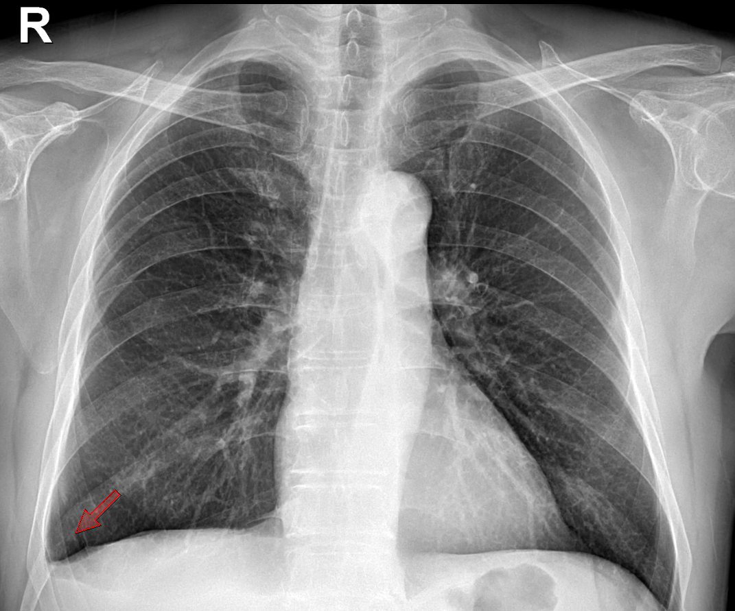
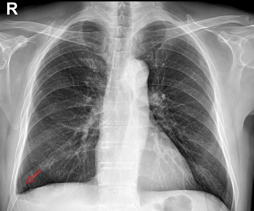
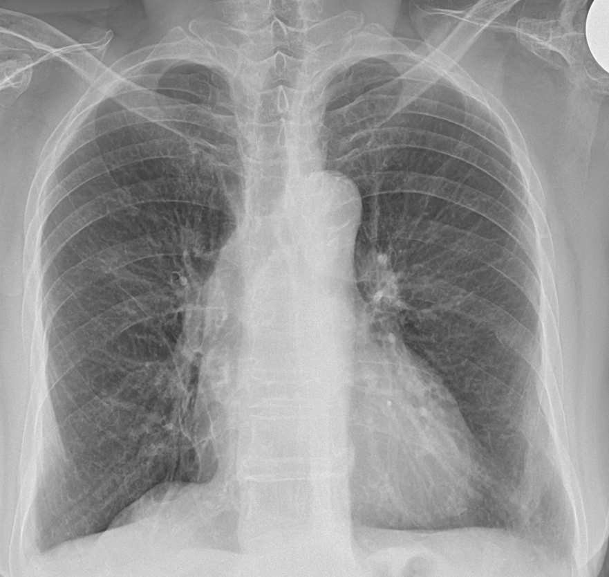
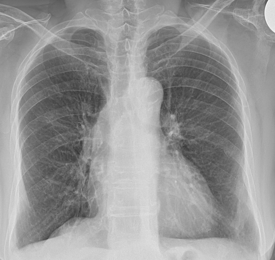
흉막 비후는 흉막이 두꺼워진 것을 말합니다. 보통 흉부 엑스레이나 CT 촬영으로 많이 확인하는 상탭입니다. 흉막은 폐를 둘러싸고 있는 얇은 막으로, 폐가 부드럽게 움직일 수 있게 도와주는 역할을 합니다.
흉막은 크게 두 개의 층으로 나뉘어 있습니다. 하나는 폐 표면에 밀착해 있는 장측 흉막이고, 다른 하나는 흉강 벽을 이루고 있는 벽측 흉막입니다. 이 두 층 사이에는 흉막액이라는 액체가 있어서 폐가 움직일 때 마찰을 줄여주어 폐가 편하게 움직일 수 있습니다.
그런데 여러 이유로 흉막이 두꺼워지는 경우가 있습니다. 이를 흉막 비후라고 부르며, 이는 폐나 흉막에 무언가 자극이 있거나 염증이 생기면서 발생할 수 있습니다.



2. 흉막 비후의 원인
1) 염증
흉막에 염증이 생기면 두꺼워질 수 있습니다. 예를 들어 흉막에 염처럼 흉막에 결핵이나 다른 세균 감염이 생기면 염증이 발생할 수 있습니다. 또한 바이러스에 감염되는 것도 흉막 비후 원인 중 하나입니다. 흉막이 염증으로 부으면 그 부분이 두꺼워질 수 있습니다.
2) 외상
흉막에 충격을 받거나 흉부 수술을 하면 흉막이 두꺼워질 수 있습니다. 이를 외상이라고 하는데, 사고를 당하거나 부상을 입어 가슴에 충격이 생기면 흉막이 손상되면서 두꺼워질 수 있습니다. 수술 후에 흉터가 남는 것처럼 흉막도 조금씩 두꺼워지게 됩니다.
3) 폐 질환
폐렴이나 만성 폐질환이 있는 경우에도 흉막 비후가 나타날 수 있습니다. 이처럼 폐 질환은 흉막 비후 원인 중 하나로, 병에 걸린 폐가 흉막에 영향을 주어 두께가 증가하는 것입니다.
4) 흉막 삼출
흉막 삼출은 흉막 사이에 액체가 많이 쌓이는 상태로, 그로 인해 흉막 비후가 발생할 수 있습니다. 흉막 삼출이 있을 때 흉막이 두꺼워지며, 간경변이나 심부전도 흉막 비후 원인이 될 수 있습니다.



3. 흉막 비후의 위치에 따른 차이점
흉막 비후는 흉막의 여러 부위에서 발생할 수 있으며, 발생 위치에 따라 그 원인과 임상적 의미가 달라집니다. 흉막 비후가 잘 생기는 부위는 주로 폐 첨부, 늑횡격막(횡격막 부근), 심횡격막, 그리고 벽측 흉막으로 나눌 수 있습니다.
1) 폐 첨부(폐 꼭대기) 부위
폐의 상부인 첨부에 위치한 흉막에서 비후가 발생하는 경우가 많습니다. 이 부위의 흉막 비후는 주로 다음과 같은 원인으로 발생할 수 있습니다.
● 결핵: 결핵균이 주로 폐 첨부에 염증을 일으켜 이후 흉막이 두꺼워질 수 있습니다.
● 만성 폐질환: 폐기종 같은 만성 폐질환이 있을 경우에도 이 부위에서 흉막이 두꺼워질 수 있습니다.
● 흡연: 흡연에 의해 폐 상부의 조직이 자극을 받아 흉막 비후가 발생하기 쉽습니다.
2. 늑횡격막(횡격막 부근) 부위
횡격막에 인접한 부분에서도 비후가 잘 생길 수 있습니다. 이 부위의 비후는 주로 다음과 같은 원인과 관련이 있습니다.
● 흉수: 가슴에 물이 차는 흉수 상태로 인해 횡격막 부근의 흉막이 자극을 받아 두꺼워질 수 있습니다.
● 간경변과 심부전: 간경변이나 심부전으로 인해 흉수가 고이면서 흉막이 두꺼워지는 경우가 많습니다.
● 석면 노출: 석면에 오래 노출된 경우에도 늑횡격막 부위에 비후가 생기며, 시간이 지나면 중피종이라는 암으로 발전할 가능성이 있습니다.
3) 심횡격막(심장 부근) 부위
심장 가까이에 있는 심횡격막 부위 흉막도 비후가 잘 생기는 부위 중 하나입니다. 이 부위의 비후는 다음과 같은 이유로 발생할 수 있습니다.
● 심부전: 심장 기능이 약해지면서 심장 주변에 체액이 고일 수 있고, 이로 인해 흉막이 두꺼워질 수 있습니다.
● 심장 관련 염증: 심장 근처의 염증이 흉막에 영향을 주어 비후를 일으킬 수 있습니다.
4) 벽측 흉막(가슴벽 쪽) 부위
벽측 흉막은 가슴벽을 따라 위치한 흉막으로, 비후가 발생하기 쉬운 부위입니다. 이 부위의 흉막 비후는 주로 다음과 같은 원인으로 생깁니다:
● 흉막염: 흉막에 염증이 생기면 벽측 흉막이 두꺼워질 수 있습니다.
● 결핵성 흉막염: 결핵균이 흉막에 감염을 일으켜 염증 후 벽측 흉막이 비후될 수 있습니다.
● 석면 노출: 벽측 흉막에서 석면 노출로 인해 비후가 생기며, 중피종이라는 암의 초기 증상으로 나타날 수 있습니다.



4. 흉막 비후와 암의 관련성
흉막 비후는 흉막이 두꺼워진 상태를 말하며, 그 자체가 암을 뜻하는 것은 아닙니다. 그러나 몇 가지 특정한 상황에서는 암과 관련될 수 있습니다.
1) 석면과의 관련성
석면은 과거에 건축 자재로 많이 쓰였지만, 지금은 몸에 해롭다는 사실이 알려져 사용이 줄었습니다. 석면 가루를 숨으로 들이마시면 흉막에 쌓일 수 있는데, 이로 인해 흉막이 두꺼워지기도 하고, 드물게는 중피종이라는 암이 생길 수 있습니다. 중피종은 흉막에서 생기는 아주 희귀한 암입니다. 만약 석면에 많이 노출되었던 경험이 있다면 중피종이 생기지 않도록 검사를 해보는 것이 좋습니다.
2) 폐암과의 관련성
또한, 폐암이 흉막에 퍼질 경우 흉막 비후가 생길 수도 있습니다. 폐암 세포가 흉막을 자극하여 비후가 발생할 수 있는 것입니다. 암이 의심되는 경우, 엑스레이나 CT 촬영을 통해 흉막이 두꺼워진 곳을 더 자세히 검사하게 됩니다.


4. 추가 검사나 치료가 필요한 경우
흉막 비후가 있을 때 다음과 같은 상황에서는 추가 검사나 치료가 필요할 수 있습니다.
1) 원인을 모를 때
흉막 비후 원인이 명확하지 않을 때는 더 자세한 검사가 필요합니다. 보통 CT 촬영이나 MRI 같은 정밀한 검사를 하게 되며, 때로는 생검이라는 방법으로 흉막 조직의 일부를 떼어내 확인할 수도 있습니다. 이렇게 하면 흉막이 왜 두꺼워졌는지 원인을 더 잘 알 수 있습니다.
2) 암이 의심될 때
흉막 비후가 암과 관련이 있을지도 모른다고 생각될 때는 더 주의해서 검사하게 됩니다. 예를 들어, 흉막 비후 원인 중 석면에 노출된 적이 있거나 흉막 조직에서 비정상적인 세포가 보이면, 암이 생기지 않았는지 확인하기 위해 흉막 생검을 하기도 합니다. 생검은 흉막에서 아주 작은 조직을 떼어내서 현미경으로 자세히 살펴보는 검사입니다.
3) 증상이 있을 때
흉막 비후가 호흡하기 어려운 증상이나 가슴이 아픈 증상을 일으킬 수도 있어요. 이런 경우는 치료가 필요할 수 있습니다. 가슴이 답답하거나 숨이 찬 느낌이 심할 때는 약물을 쓰거나 호흡 재활 운동을 통해 증상을 완화할 수 있습니다. 만약 증상이 많이 심하다면, 수술을 통해 두꺼워진 흉막을 치료하기도 합니다.
흉막비후의 증상과 치료에 대해 알고 싶으시면, 아래 버튼을 눌러보세요.



흉막 비후는 다양한 원인으로 발생할 수 있지만, 항상 심각한 것은 아닙니다. 하지만 특정 상황에서는 정밀한 검사와 주의가 필요합니다. 증상과 원인에 따라 의료진과 상의하여 건강을 관리하시길 바랍니다.
'건강 검진' 카테고리의 다른 글
| AST 수치가 높으면 의미하는 것 (0) | 2024.11.11 |
|---|---|
| 흉막비후 증상과 치료 (0) | 2024.11.08 |
| 감마지티피 높으면 의미하는 것 (0) | 2024.11.06 |
| 건강검진 대상자 조회 방법 I 일반 검진 및 암 검진 (0) | 2024.10.31 |
| 반응성 세포변화 치료와 관리 (0) | 2024.10.30 |