흉막 비후에 대해 궁금하거나 걱정되시나요?
이 글을 통해 흉막 비후의 증상과 관리 방법을 쉽게 이해하고,
예방 및 치료 방법을 알게 될 것입니다.
여러분이 걱정하던 점을 손쉽게 해결하고,
건강한 삶을 지키는 방법을 배울 수 있을 것입니다.

이전 글에서는 흉막비후의 원인과 주의사항에 대해 살펴보았습니다. 흉막비후는 폐를 둘러싼 흉막이 두꺼워지는 상태로, 여러 가지 원인에 의해 발생할 수 있습니다. 이번 글에서는 흉막비후의 증상과 치료 방법에 대해 자세히 알아보겠습니다.
흉막비후의 원인과 주의사항에 대해 더 알고 싶으시면, 아래 버튼을 눌러보세요.
1. 흉막비후의 증상
흉막비후는 폐를 감싸고 있는 흉막이 두꺼워진 상태로, 증상이 나타나는 경우도 있지만, 많은 경우 별다른 증상이 없는 무증상 상태일 수 있습니다. 즉, 흉막비후가 있어도 특별한 불편함을 느끼지 않는 경우가 많으며, 흉부 X-ray나 CT 촬영을 통해 우연히 발견되는 경우도 있습니다. 흉막비후로 인한 증상은 다음과 같습니다.
1) 무증상
많은 경우 흉막비후는 증상을 일으키지 않으며, 특히 경미한 흉막비후는 일상생활에 영향을 주지 않습니다. 이 때문에 건강 검진이나 다른 이유로 촬영한 흉부 영상에서 우연히 발견되는 경우가 많습니다.
2) 호흡 곤란
흉막비후가 진행되면 폐의 팽창이 제한되어 숨쉬기가 어려워질 수 있습니다. 특히 가벼운 운동이나 일상 활동 중에도 숨이 쉽게 가빠지고, 숨이 찬 느낌이 들 수 있습니다. 흉막비후가 심할수록 이러한 호흡 곤란이 더욱 두드러집니다.
3) 가슴 답답함
흉막이 두꺼워지면서 폐가 충분히 팽창하기 어려워져 가슴이 답답하게 느껴질 수 있습니다. 이는 주로 활동 중에 더 심하게 느껴집니다.
4) 가슴 통증
흉막비후가 심한 경우 가슴에 통증이 나타날 수 있습니다. 이 통증은 숨을 깊이 들이마시거나 기침할 때 더 강해질 수 있으며, 이는 흉막이 염증으로 인해 민감해졌기 때문입니다.
5) 기침
흉막비후로 인해 흉막이 자극을 받아 기침이 자주 나올 수 있습니다. 기침은 마른기침일 수도 있고, 염증이 있는 경우에는 가래가 동반될 수 있습니다.
6) 흉막삼출증
흉막에 액체가 쌓이게 되는 흉막삼출증이 동반될 수 있으며, 이 경우 가슴에 압박감이 생기고 숨쉬기가 더 어려워질 수 있습니다. 이는 흉막에 염증이 생기면서 체액이 고이는 현상입니다.



2. 흉막비후의 진단
흉막비후의 진단은 주로 흉부 영상 검사와 의사의 진찰을 통해 이루어집니다. 흉막비후는 초기에는 특별한 증상이 없을 수 있어, 건강 검진이나 다른 이유로 찍은 흉부 사진을 통해 우연히 발견되는 경우가 많습니다. 흉막비후를 진단하는 여러 방법들은 다음과 같습니다.
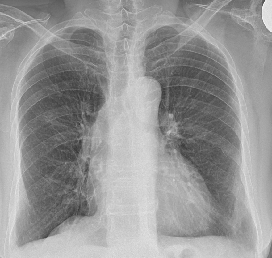
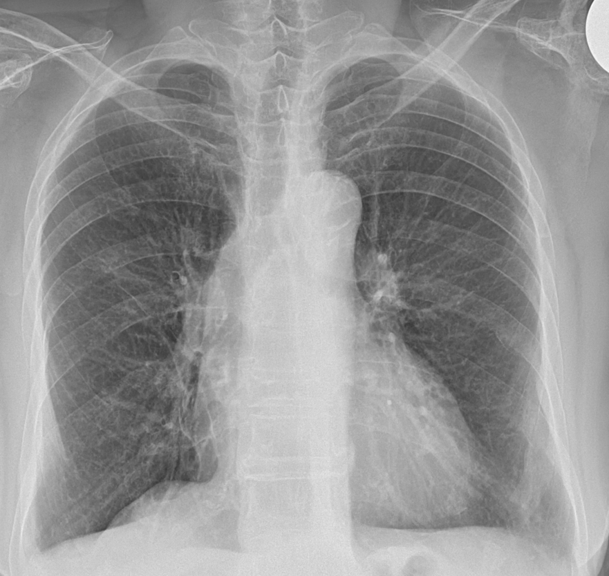
1) 흉부 X선 검사
흉부 X선(엑스레이) 검사는 흉막비후를 발견하는 가장 기본적인 검사입니다. X선 사진은 폐와 가슴 부위의 기본적인 구조를 보여주기 때문에, 흉막이 두꺼워진 부분이 있다면 이 검사로 확인할 수 있습니다. X선 사진에서 흉막비후는 폐의 가장자리나 가로막과 가까운 부위에서 선명한 두꺼운 그림자로 보입니다. 특히 흉막비후가 폐 아래쪽에 있을 때, 늑횡격막각이 흐려지거나 소실된 모습으로 나타납니다.
2) 흉부 CT(컴퓨터 단층촬영) 검사
X선 검사보다 더 정확한 검사로, CT 검사가 있습니다. CT 검사는 여러 각도에서 찍은 폐와 흉막의 사진을 컴퓨터로 조합하여 더 정밀한 이미지를 제공합니다. CT 검사를 하면 흉막의 두께와 비후된 위치를 정확히 확인할 수 있습니다. 또한 CT는 X선에서 보이지 않는 작은 변화도 잡아낼 수 있어, 흉막비후의 정확한 정도와 주변 조직의 상태를 파악하는 데 도움이 됩니다. 흉막비후가 폐를 감싸고 있는 양상이거나 석회화된 부분이 있는지도 CT로 자세히 알 수 있습니다.
3) MRI(자기공명영상) 검사
MRI 검사는 CT와 마찬가지로 흉막과 폐를 자세히 살펴볼 수 있는 검사입니다. 주로 심한 흉막비후나 흉막비후의 원인이 종양과 같은 다른 질환과 연관되었는지를 확인할 때 사용합니다. MRI는 자기장을 이용한 검사이기 때문에 방사선을 사용하지 않고, 더욱 안전하게 여러 조직의 세밀한 구조를 볼 수 있습니다. 다만, 일반적으로 흉막비후의 진단에 필수적인 검사는 아니며, CT 검사로 충분하지 않은 경우에 시행됩니다.
4) 초음파 검사
흉막비후가 동반된 흉막삼출증(흉막에 액체가 차는 현상)이 의심될 때, 초음파 검사가 유용할 수 있습니다. 초음파는 액체를 포함한 조직의 상태를 잘 보여주기 때문에, 흉막에 고여 있는 액체의 양과 위치를 정확히 확인할 수 있습니다. 만약 흉막삼출증이 심하다면, 초음파를 통해 해당 부위를 자세히 확인하고, 필요하면 흉막천자(흉막의 액체를 뽑아내는 검사)를 시행하여 진단을 확정할 수 있습니다.
5) 흉막 조직 검사(생검)
흉막비후의 원인을 더 자세히 확인하기 위해 흉막 조직 검사를 시행하기도 합니다. 이는 흉막 조직의 일부를 채취하여 현미경으로 분석하는 방법입니다. 흉막비후가 석면 노출로 인한 것인지, 혹은 종양이나 염증이 원인인지를 확인할 수 있습니다. 조직 검사는 주로 흉막비후가 불규칙하게 진행되거나 비후가 심한 경우, 또는 악성 종양이 의심될 때 시행됩니다.
6) 폐 기능 검사
흉막비후가 폐 기능에 영향을 미치는지를 평가하기 위해 폐 기능 검사를 시행하기도 합니다. 이 검사는 폐의 용적과 공기를 내보내는 속도 등을 측정하여 흉막비후로 인해 폐가 얼마나 영향을 받았는지를 확인할 수 있습니다. 폐 기능 검사는 흉막비후가 호흡에 불편을 주거나 숨이 차는 증상을 호소하는 경우 추가로 진행됩니다.



3. 흉막비후의 치료
흉막비후의 치료는 상태의 심각성, 증상, 그리고 원인에 따라 다르게 진행됩니다. 흉막비후는 일단 흉막이 두꺼워진 상태이기 때문에 이미 변화된 흉막을 완전히 원래대로 되돌리기는 어려울 수 있지만, 증상을 완화하고 호흡이 불편하지 않도록 돕는 치료 방법이 있습니다.
1) 증상 관리와 생활 습관 개선
가벼운 흉막비후는 특별한 치료 없이 생활 습관을 개선하면서 관리할 수 있습니다. 흉막비후로 인해 숨이 차거나 가슴이 답답해질 수 있으므로, 무리한 활동이나 심한 운동을 피하는 것이 좋습니다. 또한, 폐 건강을 지키기 위해 흡연을 피하고, 자주 환기하여 신선한 공기를 마시는 것이 중요합니다. 규칙적인 운동은 폐 기능을 유지하는 데 도움이 되지만, 증상이 나타날 때는 무리하지 않는 선에서 가벼운 운동을 하는 것이 좋습니다.
2) 약물 치료
흉막비후로 인해 통증이나 염증이 생기는 경우, 약물 치료를 통해 증상을 완화할 수 있습니다. 의사는 비후로 인한 통증을 줄이기 위해 진통제를 처방할 수 있습니다. 흉막에 염증이 있거나 감염이 원인일 때는 항생제나 항염증제를 사용할 수 있습니다. 약물 치료는 흉막비후의 근본적인 원인을 해결할 수는 없지만, 염증을 가라앉히고 통증을 줄여 증상을 관리하는 데 도움을 줍니다.
3) 흉막천자(흉막에 쌓인 액체 제거)
흉막비후와 함께 흉막삼출증(흉막에 액체가 차는 증상)이 발생하면, 흉막천자라는 치료를 통해 흉막에 쌓인 액체를 제거할 수 있습니다. 흉막천자는 가슴에 얇은 바늘을 삽입하여 액체를 빼내는 방법으로, 이 과정을 통해 호흡이 한결 편해지고 가슴의 압박감이 줄어듭니다. 흉막천자는 전문의의 판단 하에 안전하게 진행됩니다.
4) 호흡 재활 치료
호흡 재활 치료는 폐와 흉막이 충분히 움직일 수 있도록 돕고, 호흡 근육을 강화하는 데 도움이 되는 치료 방법입니다. 물리치료사나 호흡 치료 전문가의 지도하에 숨을 깊이 쉬는 연습이나 호흡을 조절하는 방법을 배우게 됩니다. 이 훈련을 통해 폐의 기능을 조금 더 강화하고, 흉막비후로 인한 숨 가쁨이나 호흡 곤란을 개선할 수 있습니다. 이 치료는 특히 흉막비후로 인해 일상생활에서 호흡이 불편한 사람들에게 큰 도움이 됩니다.
5) 수술적 치료
흉막비후가 매우 심하여 폐가 눌리거나 기능이 크게 저하되는 경우, 수술을 통해 두꺼워진 흉막을 제거하거나 얇게 만들어주는 치료가 필요할 수 있습니다. 이러한 수술은 보통 흉막비후가 다른 치료로 관리되지 않을 때 시행하며, 흉막을 일부 제거하여 폐가 더 자유롭게 움직일 수 있도록 돕습니다. 수술적 치료는 복잡한 과정이므로, 흉막비후가 매우 심각한 경우에만 권장됩니다.
6) 원인 치료
흉막비후의 원인이 특정 감염이나 석면 노출 같은 외부 요인이라면, 그 원인을 제거하거나 더 이상의 노출을 막는 것이 중요합니다. 예를 들어, 석면에 노출된 경우 더 이상 석면이 있는 환경에 가지 않도록 하고, 감염이 원인이라면 항생제 치료를 통해 감염을 제거해야 합니다. 원인을 해결함으로써 흉막비후가 더 악화되는 것을 막을 수 있습니다.
흉막비후의 원인과 주의사항에 대해 더 알고 싶으시면, 아래 버튼을 눌러보세요.



4. 흉막비후의 관리 방법
흉막비후가 있을 때는 증상이 악화되지 않도록 관리하고 예방하는 것이 중요합니다. 아래는 흉막비후가 있는 사람들이 일상에서 주의해야 할 점들입니다.
1) 정기 검진받기
흉막비후가 있는 사람은 정기적으로 병원을 방문해 흉막 상태를 점검받는 것이 좋습니다. 흉막비후가 갑자기 악화되거나 다른 폐 질환이 생기지 않도록, 특히 X선 촬영이나 CT 검사를 통해 흉막의 상태를 꾸준히 확인하는 것이 중요합니다. 이러한 검진을 통해 변화가 생기기 전에 조기에 관리할 수 있습니다.
2) 금연하기
담배는 흉막과 폐 건강에 매우 해로운 영향을 줍니다. 담배 속 유해 물질이 흉막을 자극해 염증이 생기기 쉽고, 흉막비후가 악화될 수 있기 때문에 금연은 필수적입니다. 금연은 흉막뿐 아니라 폐와 심장의 건강에도 큰 도움을 주기 때문에, 흉막비후가 있다면 반드시 담배를 끊어야 합니다.
3) 건강한 생활습관 유지하기
규칙적인 운동과 올바른 식습관을 유지하면 면역력을 높여 흉막비후로 인한 불편함을 줄일 수 있습니다. 가벼운 걷기나 스트레칭 같은 운동을 꾸준히 하여 폐 기능을 유지하는 것이 좋습니다. 그러나 무리한 운동은 피하고, 숨이 차지 않는 선에서 하는 것이 좋습니다. 건강한 식습관 또한 중요합니다. 신선한 과일과 채소, 단백질이 풍부한 음식을 섭취하면 면역력을 강화하는 데 도움이 됩니다.



4) 석면과 같은 유해 물질 피하기
석면은 과거 건축 자재로 많이 사용되었으며, 흉막비후와 관련이 있을 수 있습니다. 석면에 장기간 노출되면 흉막에 염증이 생길 위험이 높아지고, 흉막비후가 생길 수 있습니다. 석면이 사용된 건축 자재가 있는 환경에서는 보호 장비를 착용하고, 석면이 있는 장소를 피하는 것이 좋습니다. 석면이 많은 작업장에서 일하는 경우에는 반드시 안전 수칙을 지켜야 합니다.
5) 스트레스 관리
스트레스는 면역력을 약화시키고, 흉막비후 증상을 악화시킬 수 있습니다. 스트레스를 줄이기 위해 취미 생활을 즐기거나 가족, 친구와 시간을 보내며 마음의 안정을 찾는 것이 좋습니다. 충분한 수면과 휴식을 통해 몸과 마음을 건강하게 유지하는 것이 중요합니다.
6) 감염 예방하기
흉막비후는 호흡기 감염과도 관련이 있을 수 있기 때문에 감기에 걸리지 않도록 주의해야 합니다. 감기에 걸리면 호흡기 염증이 흉막에까지 영향을 미쳐 흉막비후 증상이 악화될 수 있습니다. 외출 후에는 손을 자주 씻고, 마스크를 착용하여 감염을 예방하는 것이 좋습니다. 환절기에는 감기 예방을 위해 실내 습도를 적절히 유지하고, 따뜻하게 입는 것이 도움이 됩니다.
7) 예방접종 받기
흉막비후를 직접 예방하는 예방접종은 없지만, 관련 질환을 예방하는 백신은 도움이 될 수 있습니다. BCG 백신은 결핵에 의한 흉막비후를 예방할 수 있으며, 폐렴과 독감 백신은 호흡기 감염을 예방해 흉막 염증의 위험을 줄여줍니다. 이러한 예방접종은 감염 예방을 통해 흉막비후의 위험을 낮추는 데 효과적입니다.



흉막비후는 초기에는 증상이 없지만, 심해지면 호흡 곤란이나 가슴 통증이 생길 수 있는 질환입니다. 흉막비후가 의심되면 병원에서 정밀 검사를 받아 정확한 원인을 파악하고, 적절한 치료와 관리를 받는 것이 중요합니다. 이를 통해 흉막이 더 두꺼워지는 것을 막고, 건강한 호흡을 유지할 수 있을 것입니다.
'건강 검진' 카테고리의 다른 글
| AST ALT 수치 상승 시 검사 및 관리 (0) | 2024.11.11 |
|---|---|
| AST 수치가 높으면 의미하는 것 (0) | 2024.11.11 |
| 흉막비후 원인과 주의사항 (0) | 2024.11.07 |
| 감마지티피 높으면 의미하는 것 (0) | 2024.11.06 |
| 건강검진 대상자 조회 방법 I 일반 검진 및 암 검진 (0) | 2024.10.31 |