AST와 ALT 상승은 건강에 중요한 신호일 수 있습니다.
이 글을 통해 AST와 ALT 상승 시 필요한 조치들을 이해하면,
간 건강을 더욱 효과적으로 관리할 수 있을 것입니다.

간 건강과 관련된 다른 내용이 궁금하시면, 아래 버튼을 눌러보세요.
1. AST와 ALT가 모두 상승했을 때
AST와 ALT가 모두 상승한 경우, 간에 발생한 손상의 정도를 확인하고 원인을 파악하기 위해 추가적인 검사가 필요합니다.
바이러스 혹은 자가면역 간염, 지방간, 간경변, 간암, 약물이나 알코올에 의한 간 손상이 의심될 수 있습니다. 또한 담즙 배출 문제나 담관 혹은 췌장 질환이 함께 있는지도 확인해야 합니다.
1) 추적 검사
만약 AST 수치가 경미하게 상승했거나 증상이 없다면, 추가적인 검사로 재검을 권장하는 경우가 많습니다. 경미한 상승이 간혹 일시적인 원인으로 발생할 수 있기 때문에, 일정 기간 후 추적 검사를 통해 수치가 정상으로 돌아오는지 확인하는 것이 중요합니다.
2) 빌리루빈 검사
빌리루빈은 간에서 생성된 담즙 성분으로, 간 손상이나 담즙 배출에 문제가 생길 경우 빌리루빈 수치가 상승할 수 있습니다. 빌리루빈 수치를 측정하면, 간과 담관의 상태를 파악하는 데 도움이 됩니다.
3) ALP 검사
ALP(알칼리성 포스파타제)는 담관과 관련된 효소로, 담관 폐쇄나 담관 질환이 의심될 때 유용한 검사입니다. ALP 수치가 높다면 담관에 문제가 있을 가능성이 크며, 이때 담관 질환을 추가로 확인해야 합니다.
4) LDH(젖산탈수소효소)
다양한 조직에서 발견되는 효소로, 간 손상뿐만 아니라 다른 조직에서도 상승할 수 있습니다. LDH 수치가 높으면 세포 손상이나 괴사가 진행되고 있음을 나타낼 수 있으며, 간 질환뿐만 아니라 심장, 근육, 폐 등 다른 장기의 문제도 함께 의심할 수 있습니다.



5) 바이러스 간염 검사
바이러스 간염의 경우, HBV(B형 간염)와 HCV(C형 간염) 등의 혈액 내 바이러스를 확인하는 검사가 필요합니다. B형 간염이나 C형 간염에 의해 간에 염증이 발생하면 AST와 ALT 수치가 상승할 수 있습니다. 이때, 해당 바이러스를 확인하는 혈액 검사를 통해 간염 여부를 파악할 수 있습니다.
6) 자가면역 질환 검사
자가면역 간염은 자가면역 체계가 자신의 간을 공격하는 질환으로, 이 경우에도 AST와 ALT 수치가 상승할 수 있습니다. 자가면역 질환을 의심할 경우, ANA(항핵항체), SMA(Smooth Muscle Antibody) 등의 자가면역 항체 검사를 통해 간염이 자가면역에 의한 것인지 확인할 수 있습니다.
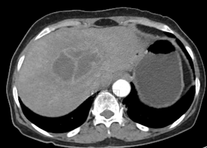
7) 간 초음파, CT, MRI
간 초음파, CT, MRI는 간의 구조적 문제나 질환을 더욱 정확히 확인할 수 있는 영상 검사입니다. 간의 크기, 형태, 결절 등을 확인하고, 간 질환이나 암의 유무를 확인하는 데 도움이 됩니다. 간 초음파는 비침습적이고 빠르게 진행할 수 있는 검사로, 주로 간염, 지방간, 간경변 등을 확인하는 데 사용됩니다.



2. AST 단독 상승 혹은 우세한 상승 시
AST 수치가 단독으로 상승하거나 ALT보다 상당히 많이 상승한 경우, 간 외적인 원인을 함께 의심할 수 있습니다. 주로 약물이나 알코올이 원인이거나, 근육 손상 혹은 심장 질환이 주요 원인으로 작용할 수 있으므로 위에서 언급한 검사들 외에 추가적인 검사도 고려합니다.
AST 수치가 높을 때 의미하는 것에 대해 궁금하시면, 아래 버튼을 눌러보세요.
1) CK 검사
CK(크레아틴 키나제) 수치는 근육에 문제가 생겼을 때 상승합니다. 만약 근육 손상이 의심될 경우, CK 수치를 통해 근육 손상의 정도를 확인할 수 있습니다. 특히 운동 후 또는 근육 질환이 의심되는 경우에 유용한 검사입니다.
2) 심전도 및 심장 효소 검사
심장 질환이 의심될 때는 심전도와 함께 트로포닌과 CK-MB 등의 심장 효소를 검사하여 심장 손상 여부를 확인할 수 있습니다. AST 수치 상승이 심장 문제와 관련이 있을 수 있기 때문에, 심장 손상 여부를 확인하는 추가 검사가 필요합니다.
3) 약물 및 알코올 중단 후 재검
약물이나 알코올 섭취가 AST 수치 상승의 원인일 경우, 해당 물질을 중단한 후 일정 기간이 지난 후 재검을 진행하는 것이 중요합니다. 이를 통해 수치가 정상으로 돌아오는지 확인하고, 원인에 따른 적절한 조치를 취할 수 있습니다.
알코올성 간 질환에 대해 궁금하시면, 아래 버튼을 눌러보세요.



3. 조치 및 관리
1) 원인 파악을 위한 추가 검사
AST와 ALT 수치가 상승하면, 먼저 원인을 파악하는 것이 중요합니다. 위에서 언급한 추가 검사들을 통해 정확한 원인을 확인합니다. 원인에 따라 적절한 치료 방법이 달라지기 때문입니다.
2) 원인에 따른 치료
● 간염 (바이러스성, 자가면역 등): 바이러스성 간염이 의심되면 항바이러스제를 사용하고, 자가면역 간염일 경우 면역억제제를 처방할 수 있습니다.
● 약물성 간 손상: 특정 약물이 간에 부담을 줄 수 있으므로, 약물을 중단하고 간 보호제를 사용합니다.
● 알콜성 간질환: 과도한 음주가 원인이라면 알코올 섭취를 중단하고, 간 건강을 회복하기 위한 관리가 필요합니다.
3) 증상이 없거나 경미한 경우
추적 검사 AST와 ALT 수치가 경미하게 상승하거나 증상이 없을 경우, 일정 기간 후 재검사를 통해 수치가 정상으로 돌아오는지 확인합니다. 일부 일시적인 원인으로 인해 수치가 상승할 수 있기 때문에, 수치 변화를 모니터링하는 것이 중요합니다.
4) 생활 습관 개선
간 건강을 유지하고 수치를 관리하기 위해 생활 습관을 개선하는 것이 필요합니다. 알코올 섭취를 제한하고, 과도하지 않은 적절한 운동을 규칙적으로 합니다. 건강한 식단을 통해 간을 보호하고, 비만을 예방합니다. 그리고 불필요한 약이나 건강보조식품은 복용하지 않는 것이 좋습니다.
5) 의료 전문가와의 상담
AST와 ALT 수치가 계속해서 상승하거나, 원인에 대한 의문이 있을 경우, 의료 전문가와 상담하여 치료 방안을 모색하는 것이 필요합니다. 적절한 검진과 진단, 치료를 통해 간 건강을 유지할 수 있습니다.



AST와 ALT 수치 상승은 다양한 원인에 의해 발생할 수 있습니다. 정확한 원인을 파악하고, 이에 맞는 적절한 조치를 취하는 것이 중요합니다. 간 건강을 지키기 위해 정기적인 검진과 생활 습관 개선을 함께 실천하는 것이 필요합니다.
'건강 검진' 카테고리의 다른 글
| 분변 잠혈검사 양성 I 원인과 추가 검사 (0) | 2024.11.14 |
|---|---|
| 요단백 원인 총정리 (0) | 2024.11.14 |
| AST 수치가 높으면 의미하는 것 (0) | 2024.11.11 |
| 흉막비후 증상과 치료 (0) | 2024.11.08 |
| 흉막비후 원인과 주의사항 (0) | 2024.11.07 |