건강검진에서 예상치 못한 간 낭종을 발견하고,
놀라거나 걱정하는 분들이 많습니다.
그러나 간 낭종이 무엇인지 이해하면
불필요한 걱정을 줄일 수 있습니다.
이 글을 통해 건강에 대한 이해를 높이고,
일상에서 간을 더 잘 돌보는 방법을 알아보겠습니다.

1. 간 낭종이란?
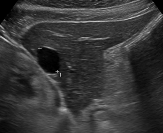
간 낭종은 간 조직 안에 생기는 물주머니 같은 구조물입니다. 쉽게 말해, 간에 작은 물집이 생긴 것이라고 생각하시면 됩니다. 이 물주머니는 보통 얇은 막으로 이루어져 있고, 안에는 맑은 액체가 들어있습니다. 이를 단순 낭종이라고 부르고, 간낭종의 대부분을 차지합니다.
드물게 간낭종의 벽이 두껍고 내부에 맑은 액체가 아닌 고형성분이나 피가 고여있는 경우를 복합낭종이라고 부르는데, 이는 면밀하게 관찰해야 할 필요가 있습니다.



2. 간낭종의 증상
1) 대부분 무증상
간낭종을 가지고 있어도 대부분의 경우 별다른 증상이 없습니다. 그래서 특정 증상으로 간낭종을 의심해서 검사하는 경우는 흔하지 않습니다.
2) 복부 압박감 혹은 소화불량
그러나 간낭종은 크기가 다양하기 때문에 크기가 아주 큰 경우 간을 압박하여 불편감이나 통증을 느낄 수도 있습니다. 보통은 오른쪽 윗배에 불편감을 느끼게 됩니다. 또한 간 바로 옆에는 위나 십이지장 같은 소화기관들이 함께 있기 때문에, 그곳을 압박하게 되면 소화가 잘되지 않을 수 있습니다.
3) 그 외 드문 증상
그 외에도 담관이 압박받으면 피부나 눈이 노래지는 황달이 생길 수 있고, 낭종이 터지거나 피가 차는 경우 감염이 발생하면 열이 날 수도 있습니다. 그러나 이러한 증상들의 빈도는 흔하지 않다고 알려져 있습니다.



3. 간낭종의 원인
간낭종이 왜 생기는지에 대해서는 아직 정확하게 밝혀지지 않았습니다. 일반적으로 간 내부의 작은 관이 막히거나 확장되면서 생기는 경우가 많은 것으로 생각하고 있습니다.
또한 태어날 때부터 간에 낭종이 있는 경우도 있습니다. 이는 간이 만들어지는 과정에서 안에 있는 담관이 제대로 연결되지 않아 발생할 것으로 추측하고 있습니다.
그 외에도 후천적으로 낭종이 생기는 경우도 있습니다. 세균이나 기생충 감염이나 다른 이유의 염증 때문에 새로 생기는 경우도 있는 것으로 추정하고 있습니다.
간 석회화에 대해 알고 싶으시면, 아래 버튼을 눌러보세요.
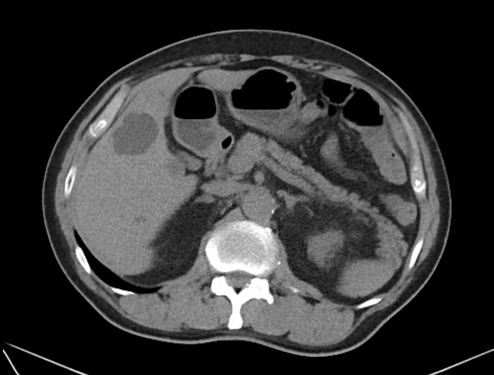
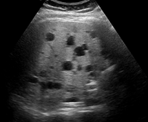
4. 간 낭종의 진단
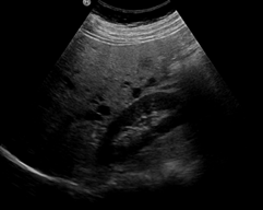
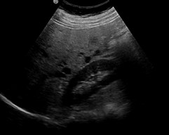
간낭종은 주로 초음파, CT, MRI 등의 영상 검사를 통해 발견할 수 있습니다.
1) 초음파
가장 흔하게 사용되는 검사는 초음파로 간낭종 내부의 상태와 크기를 쉽게 확인할 수 있습니다. 검사 중에 방사선 노출의 위험이 없고, 쉽게 휴대할 수 있어 검진에 많이 사용되고 있습니다.
2) 복부 CT
CT는 낭종의 위치나 주변 조직과의 관계를 좀 더 정밀하게 평가할 수 있는 검사입니다. 복합낭종의 경우에는 CT 평가가 필요한 경우가 있습니다. CT는 검사할 때 방사선에 노출이 있기 때문에 필요한 경우에 사용하게 됩니다.
3) 그 외 검사들
MRI도 간낭종의 평가에 사용될 수 있지만, 높은 비용 때문에 간낭종만을 위해서는 잘 사용하지는 않습니다. 또한 낭종에 감염이나 출혈이 동반된 경우 혈액검사로 염증 수치나 간수치를 함께 확인할 수도 있습니다.


5. 신경써야 할 간 낭종
일반적으로 낭종은 단순한 물집 형태로 나타나기 때문에 초음파 검사 후 추가 검사를 하지 않는 경우가 대부분입니다. 그러나 간혹 간낭종이 개수가 지나치게 많아지는 경우 유전적인 질환과 관련될 수 있습니다.
그중 다낭성 간질환은 간에 수많은 낭종이 생기는 병인데, 다낭성 신질환과 연관되어 나타납니다. 상염색체 우성으로 유전되기 때문에 가족 중에 비슷한 경우가 있는지 살펴보는 것이 좋습니다.
그 밖에도 기생충 감염이나 낭종처럼 보이는 간암도 간혹 있기 때문에 복합 낭종인 경우 주기적인 추적 검사나 추가검사가 필요한 경우도 있습니다.



6. 간낭종의 치료
대부분의 간낭종은 치료가 필요하지 않습니다. 정기적인 검사를 통해 크기나 상태를 확인하는 정도로 충분합니다. 그러나 간낭종이 매우 커지거나, 통증 같은 증상이 나타날 경우에는 제거가 필요할 수도 있습니다.
경피적 배액술은 피부를 통해 주삿바늘을 꽂아서 간낭종 안에 있는 액체를 빼내는 방법이며, 경화요법은 간낭종 안에 경화제를 주입하여 낭종 내부를 딱딱하게 굳게 만들어 다시 액체가 차지 못하게 하는 방법입니다. 이러한 방법으로도 조절이 잘 안 되거나 크기가 너무 큰 경우에는 복강경이나 개복 수술을 통해 직접 절제하기도 합니다.
7. 간 낭종의 관리
간낭종이 있다고 해서 일상생활에 큰 변화가 필요하지는 않으며, 건강한 간을 유지하기 위한 관리만 하면 충분하겠습니다. 다만 간낭종의 크기나 상태에 따라 추적검사가 필요한 경우에는 주기적인 초음파를 하는 것이 좋습니다.
또한 간을 건강하게 유지하기 위해서는 기름지거나 자극적인 음식보다는 신선한 채소와 과일을 많이 섭취하는 균형 잡힌 식단이 좋습니다. 또한 규칙적으로 유산소 및 근력운동을 하면서 체중을 잘 관리하는 것도 중요합니다.
과도한 음주는 간에 부담을 주기 때문에, 음주를 피하거나 줄이는 것이 좋겠습니다. 간낭종을 발견하면 의료진과 잘 의논하여 추적검사나 치료를 결정하는 것이 중요하겠습니다.
간의 기능과 관리방법에 대해 알고 싶으시면, 아래 버튼을 눌러보세요.


간낭종은 대부분 심각한 문제가 되지 않지만, 정기적인 검진과 생활 습관 관리를 통해 간 건강을 지키는 것이 중요합니다. 걱정되거나 증상이 나타날 경우 의료진과의 상담을 통해 적절한 관리를 받으시길 권합니다. 간낭종에 대한 정확한 이해와 꾸준한 관리로 건강한 생활을 이어가시길 바랍니다.
'간 I 담낭 I 췌장' 카테고리의 다른 글
| 알코올성 간질환 I 지방간부터 간경변까지 (0) | 2024.10.11 |
|---|---|
| 간의 기능과 관리 I 간 건강을 위한 첫 걸음 (0) | 2024.09.18 |
| 간 석회화의 원인과 관리 (0) | 2024.09.14 |