초음파에서 간 석회화라는 용어를 처음 접하면
걱정과 불안감을 느낄 수 있습니다.
하지만 간 석회화는 실제로 큰 문제를 의미하지 않으며,
그 내용을 잘 이해하면 안심할 수 있습니다.
이번 글에서는 간 석회화에 대해 깊이 알아보고,
여러분의 걱정을 덜어드리겠습니다.

1. 간 석회화의 개념
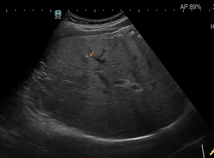
최근 건강에 대한 관심이 점점 많아지면서, 건강검진 때 여러 가지 검사를 해보는 경우가 많습니다. 그중 간을 보기 위한 영상 검사로 상복부 초음파가 많이 시행되고 있습니다.
상복부 초음파 검사에서 종종 나오는 결과 중 하나가 간 석회화라는 소견입니다. 석회화라는 단어가 들어가서 마치 내 간이 딱딱하게 굳었거나 막혀있다고 잘못 이해하고 걱정하는 분들이 종종 있어서 그에 대해 간략하게 알아보겠습니다.
우리 몸에는 다양한 미량원소와 전해질들이 존재합니다. 그중 칼슘은 근육을 포함한 여러 가지 생체 활동에 중요하기 때문에 혈액 중에 적정한 농도를 유지하며 존재합니다. 이러한 칼슘이 뭉쳐서 덩어리가 되어 우리 몸의 특정 부위에 머물게 되면 이를 석회화라고 합니다.
사실 석회화는 우리 몸에 존재하는 대부분의 장기에 다 생길 수 있습니다. 이렇게 석회화가 생기면 주변 조직보다 단단하고 딱딱해지기 때문에 초음파나 CT와 같은 영상 검사에서 주변 조직보다 새하얗게 보이게 됩니다.



2. 간 석회화의 원인
1) 석회화의 형성 과정
석회화는 주로 손상되었거나 죽은 조직에 뭉쳐서 생기게 됩니다. 감염이나 다른 자극에 의해서 우리 몸의 손상이 발생하면 그에 반응하고 방어하기 위해서 염증 반응이 나타나게 됩니다. 그 과정을 잘 지나고 나면 대부분 원래의 조직으로 완전히 치유되는 경우가 많습니다.
그러나 간혹 염증의 과정에서 세포들이 죽은 잔해에 칼슘이 같이 뭉쳐서 흉터처럼 남아있기도 하는데 이것이 석회화입니다. 우리 몸속에서 일어나는 일들을 우리가 모두 자각하는 것이 아니기 때문에, 우리가 모르는 사이에도 우리 몸에는 석회화가 생길 수 있습니다.
석회화는 그 자체로는 큰 문제가 되지 않지만, 단단한 특징 때문에 간혹 주변 조직을 압박하거나 염증을 일으켜 통증을 유발할 수도 있습니다. 이렇게 발생하는 석회화는 퇴행성 석회화라고 합니다. 대조적으로 몸에 너무 과다한 칼슘 때문에 여기저기 너무 많은 곳에 칼슘 침착이 다발성으로 보이는 경우도 드물게 있는데, 이를 전이성 석회화라고 합니다.
2) 결핵과 기생충 흔적
간의 석회화도 위에서 언급한 퇴행성 석회화 기전에 의해 발생하게 됩니다. 대표적인 원인으로는 결핵이나 기생충 등이 있습니다.
우리나라는 과거에 결핵에 걸리고도 진단이나 치료가 되지 않은 사람들이 매우 많았습니다. 따라서 결핵이 자연 치유되는 과정에서 그 흉터로 석회화가 생기는 경우가 많았습니다. 결핵은 폐에 많이 생긴다고 알려졌지만, 장이나 뼈, 간 등 모든 장기에 발생이 가능하기 때문에 간의 석회화도 그와 관련이 있을 수 있습니다.
또한 과거에는 민물고기를 회로 많이 섭취하였는데, 민물고기에는 간과 담관에 감염될 수 있는 기생충이 사는 경우가 종종 있습니다. 간에 기생충 감염이 생기고 회복되는 과정에서도 그 흉터로 간 석회화가 발생할 수 있습니다.
3) 그 외 원인들
또한 바이러스 감염 등 여러 가지 원인의 간염이나 외상에 의해서 석회화가 생길 수 있습니다. 그 외에도 간 혈관 내의 작은 혈전이나 작은 혈관의 손상도 석회화의 원인이 될 수 있습니다. 양성 혹은 악성종양도 간의 손상을 일으킬 수 있기 때문에, 드물지만 종양에서도 석회화가 동반될 수 있습니다. 그러나 사실 대부분의 석회화는 그 원인이 지나가 버린 경우가 많아서 정확하게 알 수 없는 경우가 대부분입니다.



3. 간 석회화의 증상
간 석회화는 그 자체로 증상을 나타내는 경우가 거의 없습니다. 석회화는 흉터 같은 존재이기 때문에 간의 기능에 큰 영향을 주지 않기 때문입니다.
그러나 드물게 석회화의 원인이 되는 질환 때문에 증상이 나타나는 경우는 있습니다. 예를 들어 석회화의 원인이 염증인 경우 배가 불편하거나 아플 수 있습니다. 혹은 소화가 안 되는 느낌이 있거나 더부룩할 수 있습니다. 간세포가 일부 손상되어 기능이 떨어지는 상황이 동반되는 경우에는 심한 피로나 황달 같은 증상이 나타날 수 있습니다.
이러한 증상들은 모두 동반되는 질환에 의한 것이며 크기가 작은 석회화 자체는 증상을 일으키지 않습니다. 따라서 간 석회화는 우연히 발견되는 경우가 거의 대부분입니다. 따라서 동반질환이 치료가 필요한 경우가 아니라면 간 석회화 그 자체로는 치료할 필요가 없습니다.
간 낭종에 대해 알고 싶으시면, 아래 버튼을 눌러보세요.



4. 간 석회화의 관리
앞에서 언급한 것처럼 간 석회화는 대부분 별다른 관리가 필요하지 않습니다. 대부분 아주 국소적으로 생기며, 통증이나 염증도 동반하지 않기 때문입니다. 따라서 쇄석술이나 제거를 위한 시술이 필요하지 않습니다. 그냥 간의 흉터가 있다는 정도로만 받아들이고 지내시면 됩니다.
종양에도 석회화가 동반되는 경우가 드물게 있지만 이는 석회화뿐만 아니라 각 종양에서 나타나는 특징들이 동반되기 때문에 이를 고려하여 임상적으로 의료진이 판단하게 됩니다. 애매하거나 걱정이 되는 경우에는 6개월 혹은 1년 정도 간격으로 상복부 초음파를 시행하여 변화가 있는지를 보게 됩니다. 대부분의 악성 종양은 점점 자라기 때문에 추적검사에서 특별한 크기나 성상의 변화가 없으면 안심해도 됩니다.
그러나 간 석회화가 아니라 간 속에 있는 담관에 담석이 생긴 경우에는 주의해야 합니다. 우리 몸의 담즙(쓸개즙)은 간에서 만들어져서 담낭(쓸개)에 저장되게 됩니다. 따라서 담즙이 이동하는 담관이 간 내에도 존재하게 됩니다. 이곳에 결석이 생기게 되면 담즙의 순환을 방해하고 염증이나 황달이 생길 수 있고, 장기적으로 문제가 생길 수 있습니다. 따라서 간 내 담석이 발견된 경우에는 추가적인 진료나 치료가 필요할 수 있습니다.
간의 기능과 관리에 대해 더 알고 싶으시면, 아래 버튼을 눌러보세요.



간 석회화는 우리 몸이 지나온 흔적일 뿐, 대개 큰 걱정을 할 필요는 없습니다. 그러나 간의 건강은 언제나 주의를 기울여야 하는 소중한 것입니다. 간 석회화에 대해서는 안심하시고, 정기적인 검진으로 스스로를 건강하게 돌보시기를 바랍니다.
'간 I 담낭 I 췌장' 카테고리의 다른 글
| 알코올성 간질환 I 지방간부터 간경변까지 (0) | 2024.10.11 |
|---|---|
| 간 낭종이란 I 신경 써야 할 증상과 경과 (0) | 2024.09.22 |
| 간의 기능과 관리 I 간 건강을 위한 첫 걸음 (0) | 2024.09.18 |