아침마다 몸이 무겁고 피로가 쌓여,
아무리 쉬어도 회복되지 않는 것 같나요?
갑상선 기능 저하증은 조기 발견과 적절한 치료로
충분히 관리할 수 있습니다.
이 글이 갑상선 기능 저하증을 이해하는데
큰 도움이 될 것입니다.

1. 갑상선 기능 저하증이란?
1) 갑상선 호르몬의 부족
갑상선은 목 앞쪽에 위치한 나비 모양의 작은 기관입니다. 이 기관은 우리 몸의 대사 조절을 담당하는 갑상선 호르몬을 분비합니다. 갑상선이 충분한 호르몬을 만들어내지 못하면 우리 몸의 대사 기능이 전반적으로 저하되는데, 이를 갑상선 기능 저하증이라고 부릅니다.
2) 우리나라의 유병률
우리나라에서 갑상선 기능 저하증은 생각보다 흔하게 나타납니다. 증상이 뚜렷한 현성 갑상선 기능 저하증은 전체 인구의 3~5% 정도로 추정되며, 증상이 미미하지만 호르몬 이상이 있는 불현성 갑상선 기능 저하증은 4~7% 정도로 추정됩니다. 이 질환은 여성에게 더 자주 발생하며, 나이가 들수록 유병률이 증가하는 특징이 있습니다.
갑상선 호르몬에 대해 더 알고 싶으시면, 아래 버튼을 눌러보세요.
3. 갑상선 기능 저하증의 증상
갑상선 기능 저하증은 초기에는 증상이 뚜렷하지 않아 무기력함이나 체중 증가를 단순한 생활습관 문제로 오해할 수 있습니다. 하지만 점차 다양한 증상이 나타나게 됩니다. 이 증상들은 갑상선 호르몬의 역할이 제대로 수행되지 않아 발생하는 것입니다.
1) 전반적인 증상
○ 심한 피로감: 하루 종일 피곤하고, 충분히 자도 피로가 풀리지 않습니다.
○ 우울감: 기분이 가라앉고 무기력해집니다.
○ 추위에 민감: 몸이 쉽게 차가워지고, 땀이 잘 나지 않습니다.
○ 체중 증가: 식욕이 줄어도 몸에 수분이 쌓여 살이 붙습니다.
2) 얼굴과 피부 변화
○ 얼굴과 눈 주위가 붓는 증상이 나타납니다.
○ 무표정과 감정 표현이 줄어듭니다.
○ 건조하고 거친 피부: 노란빛을 띠며 피부 아래 수분이 쌓여 부풀어 오르는 비함요 부종이 나타납니다.
○ 머리카락이 푸석하고 잘 빠집니다.
3) 심혈관 및 혈압 문제
○ 느린 심장 박동과 심장 주위에 액체가 고이는 심막 삼출액이 일부 환자에게 발생합니다.
○ 이완기 혈압 상승: 고혈압 환자의 약 10%에서 나타납니다.
○ 이상지질혈증이 흔하게 발생합니다.
이상지질혈증에 대해 더 알고 싶으시면, 아래 버튼을 눌러보세요.
4) 빈혈 및 혈액 문제
○ 철 결핍성 빈혈: 철분 및 엽산 흡수 감소로 발생할 수 있습니다.
○ 악성 빈혈: 위 점막이 손상되어 나타나며, 에리트로포이에틴 감소로 빈혈이 심해질 수 있습니다.
빈혈에 대해 더 알고 싶으시면, 아래 버튼을 눌러보세요.
5) 근육과 신경 증상
○ 근육 통증과 경련: 근육이 뻣뻣해지고 통증이 동반됩니다.
○ 손목터널증후군이 발생할 수 있습니다.
○ 말초 신경병증이 동반될 수 있습니다.
○ 심한 경우, 점액수종 혼수(myxedema coma)라는 응급 상황으로 진행될 수 있습니다.
6) 호흡과 위장관 문제
○ 얕고 느린 호흡을 보입니다.
○ 마비성 장폐쇄 위험이 증가합니다.
○ 장운동 감소로 변비가 생길 수 있습니다.
7) 내분비 및 생식 문제
○ 항이뇨 호르몬 이상으로 저나트륨혈증이 발생할 수 있습니다.
○ 월경 과다와 성욕 감소, 프로락틴 증가로 인한 젖 분비 과다가 동반될 수 있습니다.



3. 갑상선 기능 저하증의 원인
1) 자가면역질환 (하시모토 갑상선염)
자가면역질환인 하시모토 갑상선염은 면역계가 자신의 갑상선 조직을 공격하여 갑상선의 기능을 떨어뜨립니다. 이는 1차성 갑상선 기능 저하증으로, 전체 갑상선 기능 저하증 환자의 90-95%를 차지합니다. 이 질환의 발병 기전에는 유전적 요인과 환경적 요인이 함께 작용합니다. 여성에게 더 자주 발생하며, 주로 30대에서 50대 사이에 진단됩니다.
2) 요오드 결핍
갑상선 호르몬을 생성하는 데 필수적인 요오드가 부족하면 갑상선 기능 저하가 발생합니다. 요오드는 해조류, 소금, 해산물 등에서 찾을 수 있으며, 결핍될 경우 갑상선이 제대로 기능하지 못하게 됩니다. 요오드 부족은 특히 요오드가 결핍된 지역에서 자주 발생하며, 어린이의 경우 성장에 영향을 줄 수 있습니다.
3) 갑상선 수술 또는 방사선 치료 후유증
갑상선암 치료나 다른 이유로 인해 갑상선을 절제하거나 방사선 치료를 받은 경우에도 갑상선 기능 저하증이 나타날 수 있습니다. 수술 후 갑상선이 충분히 남아 있지 않거나 방사선이 갑상선 조직에 영향을 미치면, 갑상선 호르몬의 생성이 감소하게 됩니다.
4) 약물 부작용
일부 약물은 갑상선 기능에 영향을 미칠 수 있습니다. 예를 들어, 심장병 치료에 사용되는 특정 약물이나 리튬과 같은 정신과 약물이 갑상선의 호르몬 생성에 영향을 주어 기능 저하를 유발할 수 있습니다. 이러한 약물을 복용 중인 환자는 정기적인 검진이 필요합니다.
5) 뇌하수체 또는 시상하부 질환
2차성 갑상선 기능 저하증은 뇌하수체의 문제로 인해 발생하며, 3차성 갑상선 기능 저하증은 시상하부의 문제로 인해 발생할 수 있습니다. 이 경우, 갑상선은 정상적으로 존재하지만 호르몬 분비가 제대로 이루어지지 않아 기능 저하가 발생합니다.
6) 유전적 요인
갑상선 기능 저하증은 가족력이 있는 경우 발생할 확률이 높습니다. 가족 중에 갑상선 질환이 있는 경우, 본인도 갑상선 기능 저하증에 걸릴 위험이 커질 수 있습니다. 유전적 요인은 개인의 면역계와 갑상선 기능에 영향을 줄 수 있습니다.



4. 갑상선 기능 저하증의 검사
1) 갑상선 기능검사
임상적으로 갑상선 기능 저하증이 의심되는 경우, 혈액검사로 갑상선 기능 검사를 시행해야 합니다. 갑상선자극호르몬(TSH) 및 갑상선 호르몬(T3, FT4)을 주로 검사합니다. TSH 수치가 증가하고 FT4 수치가 감소하면 1차성 갑상선 기능 저하증으로 진단할 수 있으며, TSH 수치가 증가하고 FT4 수치는 정상일 경우 불현성 갑상선 기능 저하증으로 분류합니다.
2) 자가항체 검사
갑상선 기능 저하증이 확인되면, 자가면역성 갑상선 저하증과 다른 원인 질환을 구분하기 위해 갑상선 자가면역 항체 검사를 시행합니다. TPO 항체 및 Tg항체가 유용합니다.
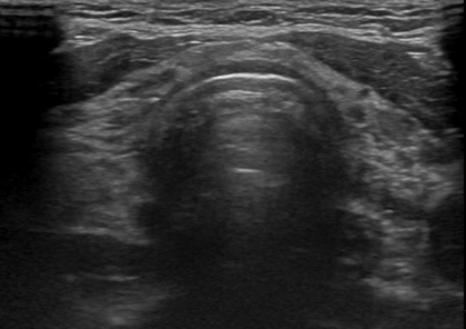
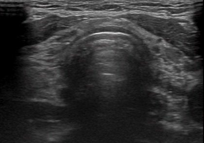
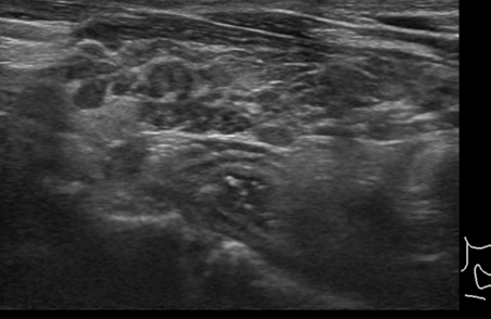
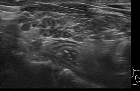
3) 갑상선 초음파
갑상선 조직의 변화나 염증 여부를 확인합니다. 갑상선 기능 저하증이 있는 경우 초음파로 보이는 갑상선의 모습이 다른 사람들보다 거칠어 보일 수 있습니다. 이러한 상태는 갑상선 결절을 구분하기 어렵기 때문에 일반인들보다 더 자주 초음파를 해보는 것이 좋습니다.
4) 그 외 검사
갑상선 저하증의 다른 비특이적 검사로는 크레아틴 인산 키나제(CPK), 젖산 탈수소효소(LDH), 아스파르트산 전이효소(AST), 지질 검사 등이 있습니다. 또한 2차성 혹은 3차성 갑상선 기능 저하증이 의심될 경우에는 뇌하수체 호르몬 검사나 MRI 등을 고려할 수 있습니다.


5. 갑상선 기능 저하증의 치료와 관리
1) 갑상선 호르몬 대체요법
부족한 갑상선 호르몬을 보충하기 위해 레보티록신(Levothyroxine)을 복용합니다. 초기에는 소량으로 시작하여 필요에 따라 점차 증량합니다. 이 약은 함께 복용하는 음식 및 다른 약 물에 의해 흡수가 방해되기 때문에 공복에 따로 복용하는 것이 좋습니다.
2) 불현성 갑상선 기능 저하증의 관리
불현성 갑상샘 저하증은 TSH 수치와 자가항제 여부, 증상, 임신 여부 등 여러 조건을 고려하여 치료 여부를 결정합니다. 특히 자가면역 항체가 양성이면, 불현성에서 현성 갑상선 기능 저하증으로 전환될 확률이 매년 5% 정도이므로 치료를 고려하는 경우가 있습니다. 치료를 하지 않는 경우에는 정기적인 검사가 중요합니다.
3) 식이 조절과 생활 습관 관리
요오드가 너무 과하거나 부족하면 갑상선 건강에 좋지 않습니다. 따라서 해조류나 생선 등 요오드가 풍부한 음식은 적당히 섭취하는 것이 좋습니다. 또한 규칙적인 운동과 충분한 수면을 통해 체중 증가와 피로감을 줄일 수 있습니다.
갑상선 기능 저하증은 조기 발견과 꾸준한 관리로 충분히 극복할 수 있는 질환입니다. 만성 피로와 체중 증가 등 사소한 증상도 무시하지 말고 빠르게 진단을 받고 치료받는 것이 중요합니다. 올바른 치료와 생활 관리로 건강을 회복할 수 있습니다. 지금이라도 증상이 있다면 주저하지 말고 검사를 받아보시기 바랍니다.