아이의 기침과 고열이 계속되면 걱정이 클 것입니다.
마이코플라스마 폐렴은 어린이에게 흔하게 발생하며,
조기 진단과 적절한 치료가 중요합니다.
이 글을 통해 마이코플라스마 폐렴에 대해 알아보시면,
자녀의 건강을 지키는 데 도움이 될 것입니다.

1. 마이코플라스마 폐렴이란?
마이코플라스마 폐렴은 마이코플라스마 폐렴균(Mycoplasma pneumoniae)이라는 세균에 의해 발생하는 호흡기 질환입니다. 이 질환은 주로 어린이와 청소년에게서 흔하지만, 모든 연령대에서 감염될 수 있습니다. 감기와 비슷한 초기 증상 때문에 조기 진단이 어려울 수 있습니다.



마이코플라스마 폐렴균은 특이하게 세포벽이 없습니다. 일반적으로 많이 사용하는 페니실린계열 항생제는 세포벽을 파괴함으로써 세균을 공격하는데, 마이코플라스마는 세포벽이 원래 없어서 페니실린 계열 약물이 효과가 없습니다. 그 대신 리팜피신, 독시사이클린, 마크로라이드 계열의 다른 항생제를 사용해야 합니다.



마이코플라스마 감염은 주로 기관지와 폐에 염증을 일으켜서 호흡기 증상을 나타냅니다. 초기 증상이 가벼워 방치될 경우 폐렴으로 진행될 수 있어 주의가 필요합니다.
마이코플라스마 폐렴의 등교시기와 치료에 대해 궁금하시면, 아래 버튼을 눌러보세요.
2. 마이코플라스마 폐렴의 전염 경로
마이코플라스마 폐렴은 주로 사람과 사람 사이의 밀접 접촉으로 전염됩니다.
환자가 기침이나 재채기를 하거나 대화를 하면서 나오는 작은 비말(침방울)에 균이 포함되어 다른 사람에게 전파됩니다. 또한 환자가 만진 물건을 만진 후 손을 씻지 않고 얼굴을 만질 때도 전염될 수 있습니다.
이 균의 잠복기는 1~4주로 비교적 길며, 평균적으로는 2주 정도로 알려져 있습니다.



일단 마이코플라스마 균에 감염이 되면 잠복기 동안 아무런 증상 없어도 다른 사람에게 전염시킬 수 있습니다. 일반적으로 증상이 나타나기 1주 전부터 전염이 가능하며, 증상이 나타난 이후 3주 정도 까지도 전염될 수 있는 것으로 알려져 있습니다.
마이코플라스마 폐렴은 다른 세균이나 바이러스에 비해 사람 간 전염이 매우 쉽습니다. 그래서 학교, 유치원, 군대 등 밀폐된 공간에서 여러 명이 함께 생활하는 시간이 길어지는 경우에는 쉽게 전염될 수 있습니다.
또한 증상이 심하지 않다고 해서 전염력이 낮은 것은 아니기 때문에 증상이 심하지 않더라도 조기에 진단하여 집단의 전염을 막는 것이 중요합니다.



3. 마이코플라스마 폐렴의 임상 증상
마이코플라스마 폐렴의 증상은 초기에는 감기와 비슷하게 나타나기 때문에 초기 진단이 어렵습니다. 일반적으로 발병 속도는 느린 편이라서 서서히 증상이 악화됩니다. 그렇게 감염이 점점 심해지면 기침과 같은 호흡기 증상이 악화되며 폐렴으로 진행될 수 있습니다. 임상 증상과 그 특징에 대해서 알아보겠습니다.
1) 기침
발병 초기에는 마른기침이 오래 지속됩니다. 그러다가 시간이 점차 지나면 점액이 섞인 가래가 나오는 경우도 있습니다. 기침이 심하면 밤에 잠들기 어렵고 삶의 질이 떨어집니다. 치료가 끝난 후에도 기침은 몇 수 이상 지속될 수 있습니다.
2) 발열
마이코플라스마 감염은 미열부터 고열까지 다양하게 열이 날 수 있습니다. 일반적으로는 38도 전후의 중간정도 발열이 흔합니다. 열이 나게 되면 몸이 춥고, 매우 피로하며 근육통이 동반되기도 합니다.



3) 인후통과 두통
목이 아프고 삼킬 때 불편한 느낌이 나타납니다. 따끔따끔한 느낌이 있기도 하며, 어떨 때는 뭔가 걸린 것 같은 이물감이 있기도 합니다. 기침을 많이 하면서 더 이러한 느낌이 심해지기도 합니다. 또한 머리가 지끈지끈 아프고 몸이 무기력해질 수 있습니다.
4) 흉통과 호흡 곤란
감염이 진행되어 폐에 염증이 심해지면 흉통이 발생하고 숨쉬기가 어려워집니다. 기침을 많이 하면서 흉통이 더 심해지기도 합니다. 하지만 흉통 자체는 다른 원인에 의한 폐렴에 비해서는 심하지 않은 편입니다. 기관지 주위로 염증이 심한 경우 쌕쌕거리는 소리(천명음)가 들리기도 합니다.



5) 콧물과 코막힘
일부 환자에게는 비염 증상과 유사한 콧물과 코막힘이 동반될 수 있습니다. 코막힘이 심해지면 두통을 유발할 수 있고, 콧물이 제대로 배출되지 못하고 목으로 넘어가면 목 이물감이나 기침을 유발할 수도 있습니다.
6) 구토와 설사
소화기 증상은 어린이에게서 자주 나타날 수 있습니다. 메스꺼움, 구토, 설사가 나타날 수 있고, 때때로 배가 아프다고 느끼기도 합니다.



7) 피부발진
단순한 폐렴 증상 외에도 다양한 전신 반응을 일으킬 수 있는데, 피부 발진 역시 그중 하나입니다. 특히 양궁에서 사용하는 과녁처럼 생긴 붉은 피부발진이 나타나면 이는 마이코플라스마 감염의 특징적인 피부병변일 수 있습니다.
8) 유루안
드물게 눈물이 많이 나는 유루안을 동반할 수 있습니다. 감염으로 인해 발생하는 염증 반응이 눈 주변의 조직을 자극해 눈물이 과도하게 생성되는 경우가 있습니다. 이때 환자는 눈의 간지러움, 충혈, 그리고 눈물이 흐르는 증상을 경험할 수 있습니다.



4. 마이코플라스마 폐렴의 진단 방법
마이코플라스마 폐렴은 감기와 유사한 증상을 보이기 때문에 단순한 신체검사만으로는 정확한 진단이 어렵습니다. 확진을 받기 위해서는 유행상황과 증상을 고려하여 다음과 같은 검사들을 진행할 수 있습니다.
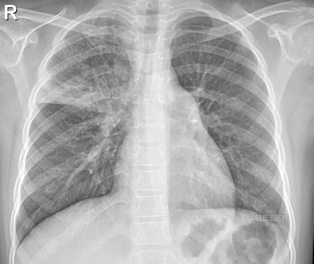
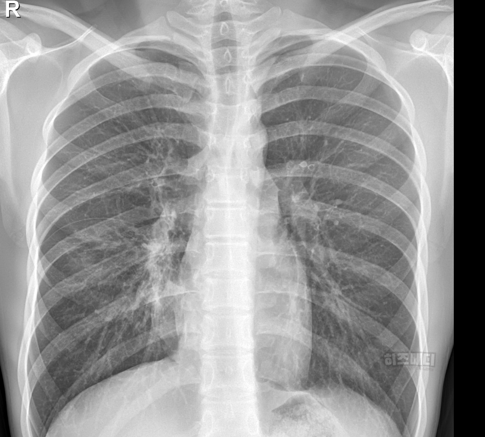
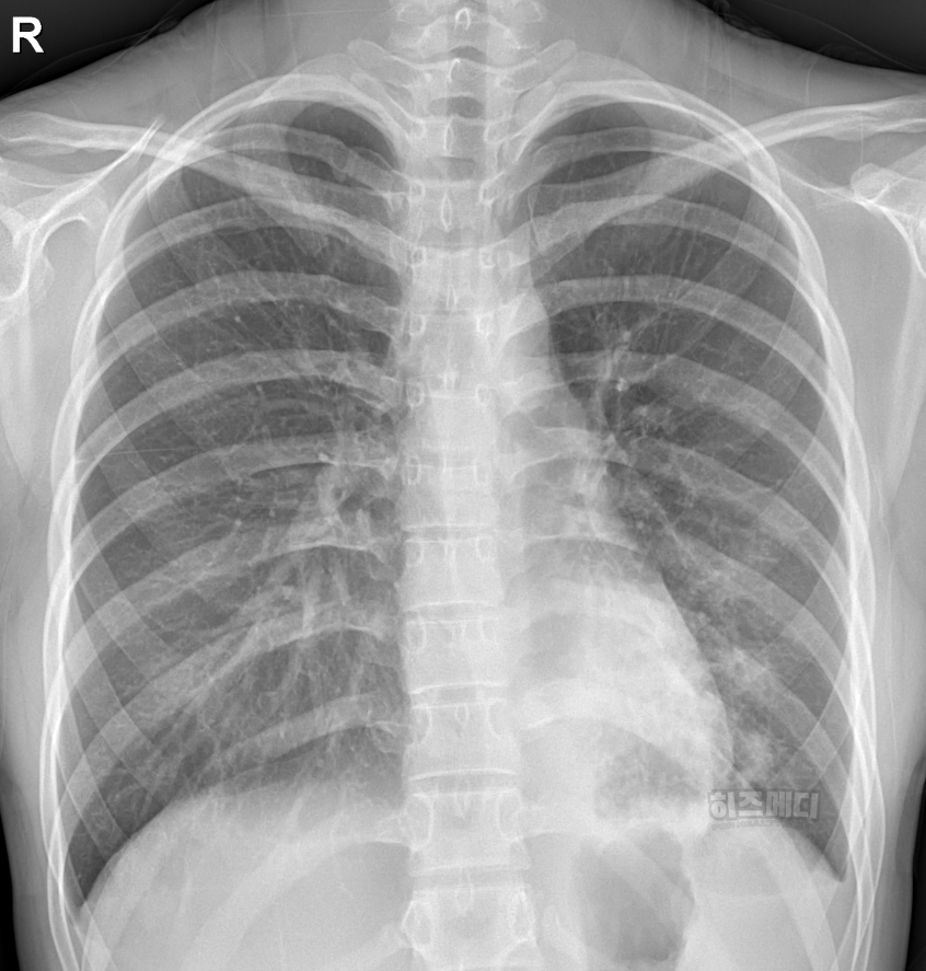
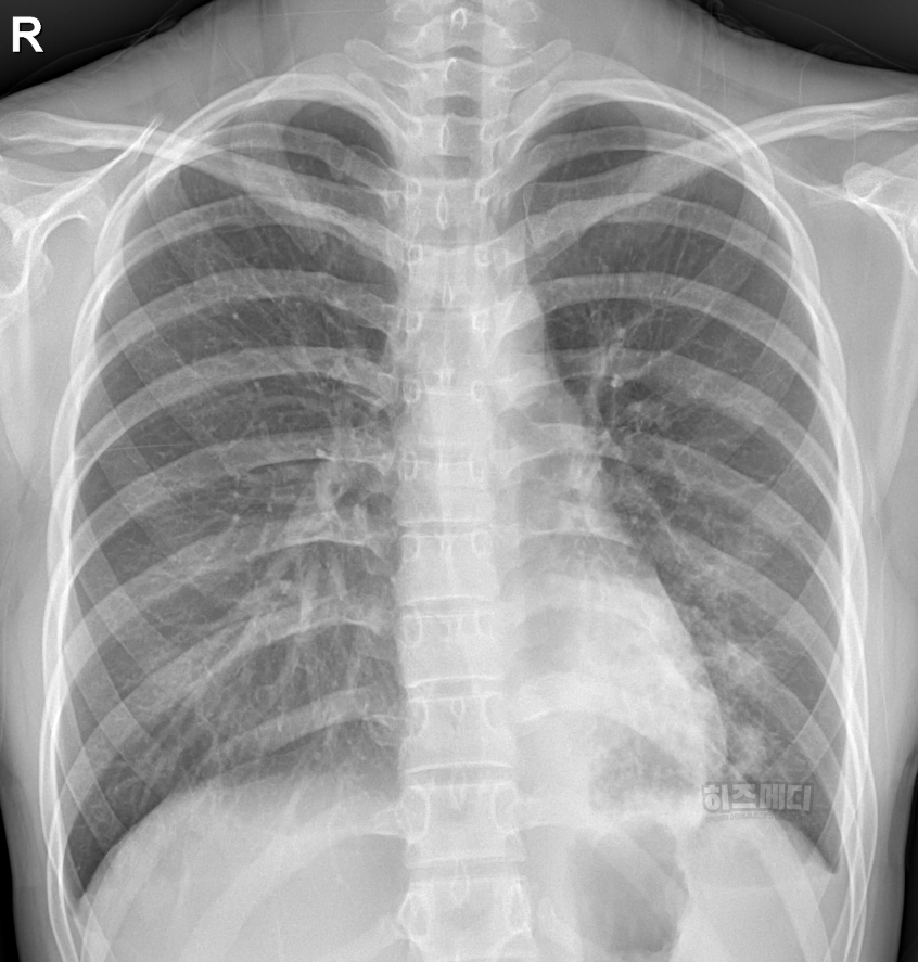
1) 흉부 엑스레이 촬영
폐에 염증이 있는지 확인할 때 흉부 엑스레이를 시행할 수 있습니다. 보통 폐렴으로 발전한 경우, 흉부 엑스레이에서 폐에 하얀 음영이 나타납니다.
마이코플라스마 폐렴은 일반적으로 폐렴의 전형적인 엑스레이 소견과는 다를 때가 많습니다. 폐의 폐포와 혈관사이를 간질이라고 부르는데, 이 부분에 주로 하얀 음영들이 많이 보이게 됩니다.
또한 병변이 양쪽 폐에서 동시에 관찰되는 경우가 종종 나타나며 주로 폐의 하엽에 많이 나타납니다. 미세한 결절이나 그물망 같은 모습으로 나타나기도 합니다.



2) 혈액 검사
염증 수치를 확인하고, 마이코플라스마 균에 대한 특이 항체를 검사합니다. 발병 초기에는 항체가 나타나지 않을 수 있어 2주 후 재검사하기도 합니다. IgM 항체의 존재는 최근 감염을 의미하며, IgG 항체는 이전 감염 또는 면역 형성을 나타냅니다.
3) 가래 검사
가래를 채취하여 마이코플라스마 균이 있는지 확인합니다.
4) PCR 검사
유전자 증폭 기술을 사용한 방법입니다. 마이코플라스마 균의 유전자 일부를 이용하여 진단하는 방법으로 감염 여부를 정확하게 확인할 수 있는 방법입니다.



마이코플라스마 폐렴은 엑스레이 사진에서는 병변이 심하지 않은데도 증상을 심하게 호소하는 경우가 있으며, 반대로 엑스레이 소견은 심해 보이는데 증상은 경미한 경우도 흔합니다. 따라서 마이코플라스마 감염을 확진하기 위해서는 임상 증상과 혈액검사 등의 종합적인 평가가 필요합니다.



마이코플라스마 폐렴은 적절한 관리와 치료로 충분히 회복할 수 있는 질환입니다. 이 글에서 제시한 정보와 지침을 바탕으로, 자녀의 증상을 주의 깊게 살피고 필요한 경우 전문가의 도움을 받는 것이 중요합니다.
'감염 I 자가면역' 카테고리의 다른 글
| 백일해 증상과 가정 내 대처법 (0) | 2024.10.19 |
|---|---|
| 백일해 예방접종 I 사랑하는 가족을 위한 첫걸음 (0) | 2024.10.18 |
| 마이코플라스마 폐렴 치료와 등교 시기 (0) | 2024.10.15 |
| 마버그 바이러스 증상 및 예방 (0) | 2024.10.04 |
| 뎅기열 위험국가 방문 전에 꼭 알아야 할 상식 (0) | 2024.09.19 |