건강 검진에서 홍반성 위염이라는 결과를 받으면,
생소한 진단명에 당황스러울 수 있습니다.
이 글은 홍반성 위염의 임상적인 의미에 대해 다룰 것입니다.
이를 통해 불필요한 걱정을 줄이고,
위 건강을 지키는 데 도움이 될 것입니다.

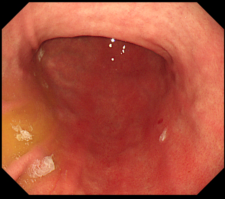
1. 홍반성 위염이란?
홍반성 위염(발적성 위염)은 위장의 점막에 염증이 생겨 뷹게 변하는 상태를 말합니다. 홍반이라는 용어는 붉은 반점을 의미하기 때문에 발적성 위염이라고도 부릅니다. 마치 피부가 자극을 받으면 붉게 변하는 것처럼, 우리 위도 자극을 받아 붉게 변할 수 있습니다.
즉, 홍반성 위염 혹은 발적성 위염이란 위 점막에 붉은 반점이 생기면서 염증이 있는 상태를 말합니다. 이러한 소견은 검사를 할 때 흔히 볼 수 있으며, 어떤 사람에게는 위장에 통증이나 불편함을 줄 수도 있지만, 특별히 증상이 없는 경우도 매우 많습니다.



2. 검진에서 발견된 홍반성 위염의 의미
건강 검진에서 흔히 나오는 홍반성 위염 혹은 발적성 위염이라는 소견은 위에 붉은 반점이 보일 때 사용하는 말입니다. 위 내시경 검사로 위를 들여다보면, 때때로 이런 붉은 점이나 발적이 보일 수 있지만, 이것이 반드시 심각한 문제가 있다는 뜻은 아닙니다. 예를 들어, 우리가 매운 음식을 먹거나 스트레스를 받으면 일시적으로 위가 약간 예민해질 수 있는데, 그때 위가 붉게 보일 수 있습니다.
위 내시경 검사에서 위염이 자주 보이는 이유는 의사가 병을 판단하는 기준과 우리가 느끼는 정상 상태가 다르기 때문입니다. 몸에 특별히 아픈 증상이 없고 기능이 정상인 사람이라도, 내시경으로 위를 들여다보면 작은 염증이나 붉어진 부분이 보일 수 있습니다. 이런 경우에도 의사 선생님이 '위염'이라고 기록할 수 있어서, 실제로는 건강하지만 내시경 결과로는 위염처럼 보일 때가 있습니다.
그래서 증상이 없는 상태에서 홍반성 위염(발적성 위염) 소견이 나왔다고 해도 걱정할 필요는 없습니다. 증상이 없거나 배가 아프지 않다면 보통 특별한 치료 없이도 괜찮을 때가 많습니다. 다만, 의사 선생님이 필요하다고 생각하시면 조직검사나 헬리코박터 검사 등 더 자세한 검사를 통해 위가 건강한지 확인할 수 있습니다.



2. 홍반성 위염의 원인
1) 헬리코박터 파일로리 감염
헬리코박터 파일로리 균은 위 점막에 감염되어 염증을 유발할 수 있습니다. 이 균은 위산을 중화하는 능력이 있어 위 점막에 장기간 생존할 수 있으며, 염증을 지속적으로 유발하여 홍반성 위염을 일으킬 수 있습니다.
2) 약물 사용
진통제나 소염제(NSAID)의 장기적인 사용은 위 점막을 자극하고 염증을 유발할 수 있습니다. 이러한 약물은 위산 분비를 촉진하거나 위 점막을 손상시켜 염증을 유발하는 원인이 될 수 있습니다.
3) 음주 및 흡연
알코올과 니코틴은 위 점막을 자극하여 염증을 일으킬 수 있습니다. 특히 과도한 음주는 위산 분비를 증가시키며, 흡연은 위 점막의 혈액순환을 방해해 염증을 악화시킬 수 있습니다.



5) 불규칙한 식습관
식사를 규칙적으로 하지 않으면 위가 빈 상태로 오래 있게 되어, 공복에 위산이 과다하게 나올 수 있습니다. 위산이 너무 많이 나오면 위 점막을 자극해 염증을 일으키기 쉬워집니다. 이를 반복하게 되면 위가 점점 예민해지고, 위염 같은 문제가 생길 수 있습니다.
6) 자극적인 음식
매운 음식, 짜거나 자극적인 음식, 고지방 음식을 과도하게 섭취하면 위 점막을 자극해 염증을 일으킬 수 있습니다.
4) 스트레스
스트레스는 위산 분비를 촉진하고 위장관 운동을 불규칙하게 만들어 위염을 유발할 수 있습니다.



3. 홍반성 위염의 관리
1) 식습관 개선
● 규칙적인 식사: 식사를 일정한 시간에 규칙적으로 하는 것이 중요합니다. 공복 시간이 길어지면 위산이 과다하게 분비되어 염증을 악화시킬 수 있습니다.
● 자극적인 음식 피하기: 매운 음식, 기름진 음식, 짠 음식은 위 점막을 자극할 수 있으므로 가급적 피하는 것이 좋습니다. 대신 부드럽고 소화가 잘 되는 음식을 선택하는 것이 바람직합니다.
2) 스트레스 관리
스트레스는 위염을 악화시킬 수 있으므로, 스트레스를 관리하는 방법을 찾는 것이 중요합니다. 명상, 운동, 취미 생활 등을 통해 스트레스를 줄일 수 있습니다.
3) 금주와 금연
음주와 흡연은 위 점막에 해로운 영향을 미치므로, 가능하면 피하는 것이 좋습니다. 알코올과 니코틴은 위산 분비를 증가시키고 염증을 악화시킬 수 있습니다.
4) 약물 사용 주의
진통제나 소염제(NSAID)와 같은 약물을 장기간 사용해야 하는 경우, 의사와 상담하여 위에 부담이 덜 가는 다른 약으로 대체할 수 있는지 논의하는 것이 중요합니다. 반드시 소염제를 써야하는 경우에는 경우에 따라 위산을 조절하는 약을 함께 고려하기도 합니다.
5) 정기적인 검진
위염의 증상이 없더라도 정기적으로 위 검진을 받는 것이 좋습니다. 증상이 없는 홍반성 위염이라도 관리가 되지 않을 경우 위축성 위염이 생길 수 있으므로 주의합니다. 필요할 경우 의사 선생님과 상담하여 추가 검사를 통해 위 건강을 체크할 수 있습니다.
위축성 위염에 대해 더 알고 싶으시면, 아래 버튼을 눌러보세요.
홍반성 위염(발적성 위염)은 검진에서 흔히 나타날 수 있는 소견으로, 반드시 심각한 질환을 의미하지는 않습니다. 원인을 알고, 생활 습관을 조절하며 위 건강을 지키는 것이 중요합니다. 정기적인 검진과 적절한 관리를 통해 위를 잘 보호해 나갈 수 있습니다.
'위 I 대장 I 소화' 카테고리의 다른 글
| 장상피화생이란 I 위암으로 이어질 수 있는 점막 변화 (0) | 2024.12.26 |
|---|---|
| 위저선 용종 원인과 관리 총정리 (0) | 2024.12.17 |
| 위축성 위염의 진단과 치료 (0) | 2024.10.17 |
| 위축성 위염 증상과 합병증 (0) | 2024.10.16 |
| 위하수증의 증상과 임상적 의의 (0) | 2024.09.12 |