갑상선 낭종이 발견되었다는 말에 걱정되셨나요?
이 글을 통해 갑상선 낭종에 대해 정확히 알고나면,
그 불안감은 눈 녹듯이 사라질 것입니다.

1. 갑상선 낭종이란?
갑상선은 우리 몸의 대사를 조절하는 호르몬을 분비합니다. 쉽게 말해 우리 몸이라는 공장이 일하는 속도나 강도를 조절하는 핵심 부서라고 생각해도 될 것 같습니다. 갑상선은 나비 모양으로 생겼는데, 목의 앞쪽에 자리 잡고 있습니다.
갑상선 호르몬에 대해 알고 싶으시면, 아래 버튼을 눌러보세요.
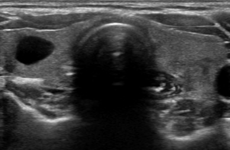
요즘 갑상선에 대한 영상 검사, 특히 초음파 검사를 많이 하게 되면서, 갑상선 낭종을 발견하는 경우가 늘어났습니다. 낭종이라는 어려운 용어를 들으면 문득 겁이 나거나 당황스러울 수 있지만, 사실 갑상선 낭종은 암과는 관련성이 크지 않은 경우가 대부분입니다.
갑상선 안에 물 같은 액체로 채워진 주머니 모양의 구조물이며, 쉽게 말해 갑상선에 있는 물집이라고 생각하면 되겠습니다. 그러나 갑상선 낭종은 때때로 고체 성분을 포함하는 경우도 있는데 이런 경우에는 드물게 암과 관련이 있는 경우도 있기 때문에 관리 및 추적검사가 필요합니다.



2. 갑상선 낭종의 원인
1) 갑상선 조직의 노화
갑상선 조직이 노화되어 새로운 조직으로 바뀌는 과정에서 낭종이 만들어질 수 있습니다.
2) 갑상선 결절의 변화
다른 갑상선 결절이 시간이 지나면서 물이 차서 낭종으로 변할 수도 있습니다.
3) 염증 회복 과정
갑상선염 등의 염증이 생기고 나서 회복되는 과정에서도 염증 부위 주변으로 낭종이 생길 수 있습니다.
4) 유전적 요인
가족 중에 갑상선 낭종을 가지고 있는 사람이 많다면 유전적인 요인으로 인해 갑상선 낭종이 생길 확률이 높아질 것으로 생각합니다. 그러나 갑상선 낭종 자체가 워낙 흔하기 때문에 유전적 요인이 얼마나 큰 영향을 미치는지에 대해서는 아직 확실하지 않습니다.
5) 그 외 원인들
갑상선 호르몬의 불균형이나 호르몬을 구성하는 데 필요한 요오드의 결핍 등이 갑상선 조직의 변화를 유도하여 낭종을 발생시킬 수 있을 것으로 추정하며, 방사선 노출이나 특정 약물의 사용도 갑상선 낭종과 연관이 있을 것으로 생각됩니다.
갑상선 기능 저하증에 대해 알고 싶으시면, 아래 버튼을 눌러보세요.
3. 갑상선 낭종의 증상
1) 무증상
갑상선 낭종의 증상 중에 가장 흔한 것은 무증상입니다. 특히 크기가 작을 경우에는 대부분 증상이 없으며, 건강검진을 하면서 우연히 발견되는 경우가 대부분입니다.
2) 만져지는 덩어리
갑상선 낭종의 크기가 큰 경우 낭종이 덩어리처럼 만져질 수 있습니다. 이 덩어리는 딱딱하지 않고 부드러운 느낌인 경우가 많습니다.
3) 통증
갑상선 낭종은 보통 만져도 통증이 없는 경우가 대부분이지만, 감염되거나 출혈이 동반되는 경우에는 통증을 느끼기도 합니다.
4) 삼킴 곤란
낭종의 위치가 식도에 가깝거나 크기가 커서 주변을 압박하는 경우에는 음식물을 삼키는 데 불편감을 느낄 수 있습니다.
5) 호흡 불편감 및 음성 변화
갑상선 낭종이 주변의 기관을 누르게 되면 호흡하는 데 불편감을 느낄 수 있고, 성대를 압박하게 되면 음성이 변할 수도 있지만 그 빈도가 흔하지는 않습니다.



4. 갑상선 낭종의 진단
갑상선 낭종의 진단에는 주로 초음파 검사가 사용됩니다. 초음파는 방사선 노출이 없고 안전하기 때문에 널리 활용됩니다.
1) 초음파 검사: 낭종의 위치, 크기, 내부 구조를 파악합니다.
2) CT/MRI: 주변 조직까지 확인이 필요할 때 제한적으로 사용됩니다.
3) 미세바늘 흡인 세포 검사(FNA): 낭종의 악성 여부를 판단하기 위해 조직을 채취합니다.
4) 혈액 검사: 갑상선 호르몬 수치를 측정해 갑상선 기능을 평가합니다.



5. 갑상선 낭종의 치료
갑상선 낭종의 치료는 증상과 상태에 따라 달라집니다.
1) 정기적 초음파 관찰
대부분의 경우는 증상이 없기 때문에 치료하지 않고, 주기적으로 초음파를 시행합니다. 이렇게 주기적으로 초음파를 하는 이유는 낭종의 크기나 형태, 내부 구조 등이 변하는지를 확인하기 위함입니다. 간혹 처음에는 갑상선 낭종이라고 생각되었던 병변이 나중에 확인하면 그렇지 않은 경우가 있기 때문에 확실하게 하기 위해서는 정기적으로 초음파를 시행하는 것이 좋습니다.
2) 흡인 치료
낭종이 큰 경우에는 작은 주삿바늘로 흡인을 통해 내부의 액체를 제거하여 크기를 줄일 수 있습니다. 그러나 흡인을 통해 액체를 제거해도 다시 액체가 차올라서 갑상선 낭종의 크기가 커지는 경우도 있습니다.
3) 경화요법 및 수술적 제거
경화요법과 수술적으로 제거하는 방법이 있습니다. 경화요법은 낭종이 반복적으로 발생되어 불편감을 겪는 경우 낭종 안에 알코올을 주입하여 낭종을 쪼그라들게 하여 액체가 찰 수 없도록 하는 방법입니다. 수술은 낭종의 크기가 아주 크거나, 악성 가능성이 있거나, 심한 불편감을 주는 경우에 고려할 수 있습니다.


5. 갑상선 낭종의 예방 및 관리
갑상선 낭종을 예방할 수 있는 방법은 없으며, 예방할 필요도 없습니다. 갑상선 자체를 건강하게 유지하고 갑상선의 악성 병변을 조기에 발견하는 것이 중요합니다. 따라서 정기적으로 초음파와 같은 영상 검사를 시행하여 검진하는 것이 필요하겠습니다.
또한 갑상선 건강은 스트레스와 관련이 있으므로 식단과 적절한 운동 및 적절한 스트레스 대처를 통해 건강한 생활을 하는 것이 중요합니다. 요오드가 들어있는 음식을 적당량만 섭취하여, 요오드가 몸에 부족하거나 너무 과잉되지 않도록 하는 것도 중요합니다. 그 외에도 흡연은 갑상선 기능에 부정적인 영향을 줄 수 있으므로 금연하도록 합니다.
갑상선 낭종은 일반적으로 걱정할 필요가 없는 경우가 많습니다. 그러나 증상이 나타나면 전문가와 상담하는 것이 필요합니다. 건강한 생활 습관을 통해 갑상선 건강을 유지하시기를 바랍니다.
'갑상선 I 부신 I 내분비' 카테고리의 다른 글
| 혈당 정상수치와 당뇨병 진단 (0) | 2024.12.03 |
|---|---|
| 갑상선 호르몬 수치 및 역할 (0) | 2024.10.05 |
| 혈당 낮추는 방법 I 놓치면 안 되는 사실 (0) | 2024.09.10 |
| 당뇨병 초기증상부터 합병증까지 (0) | 2024.09.10 |